【形态学病例分享】第一百二十三期

患者基本信息:

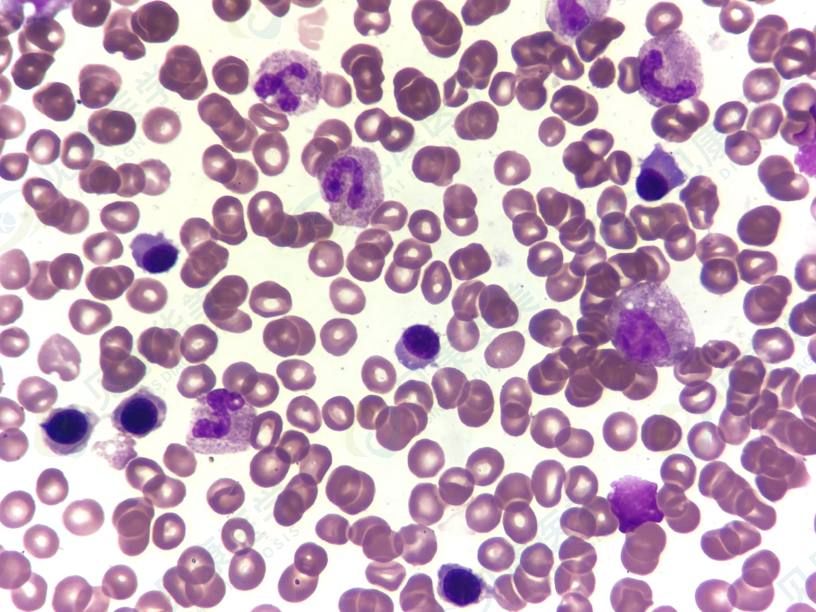
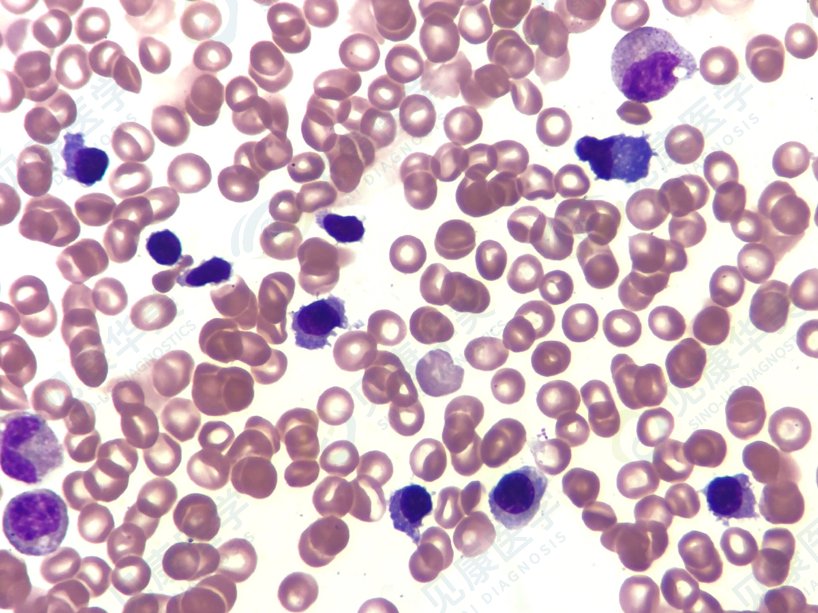
男,77岁,腰椎骨折、全血细胞减少5天待查。

血常规:

WBC   2.91×109 /L

HB     101 g/L 

PLT     108×109 /L 

 

 

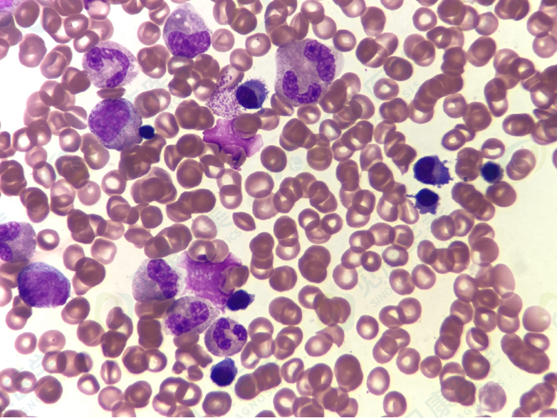
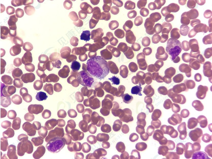
骨髓涂片

 

 

 

 

骨髓形态

 

流式细胞学

 

FISH

 

 

 

免疫固定电泳

 

 

 

 

诊断结果

浆细胞肿瘤,倾向MM