【形态学病例分享】第八十四期

患者基本信息:
男,67岁,全血细胞减少1年
 
血常规:
WBC   1.33×109  /L
RBC    3×1012 /L  
HB      66g/L  
plt       74×109  /L 
MCV    72.7fl
 
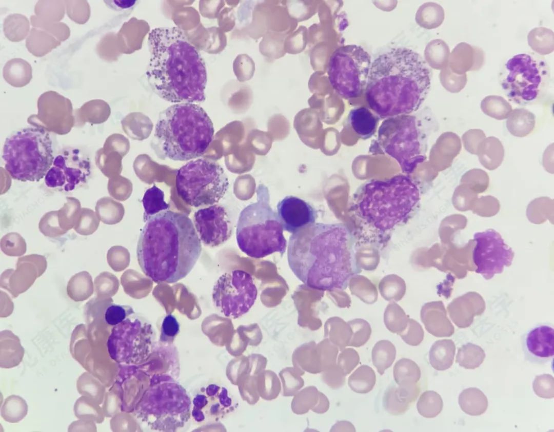
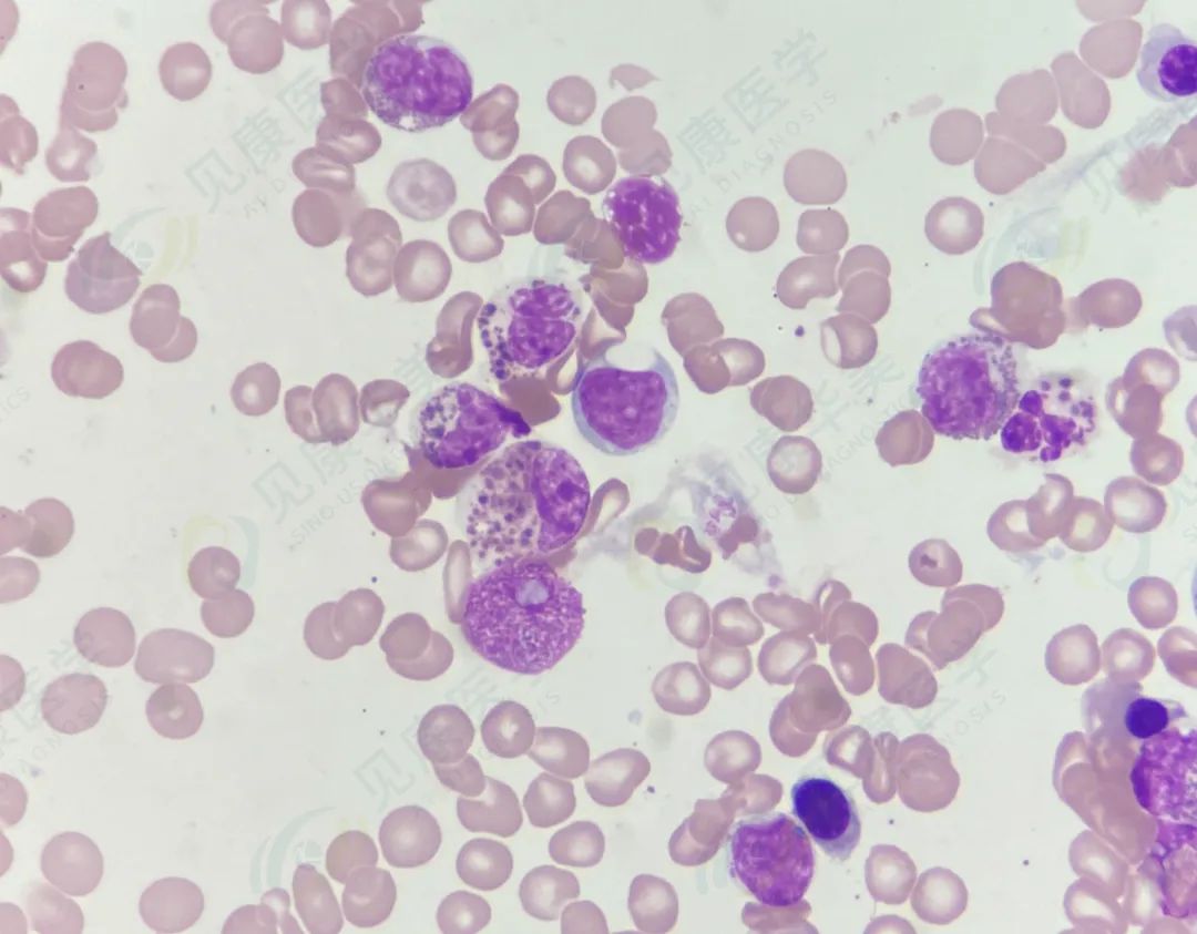
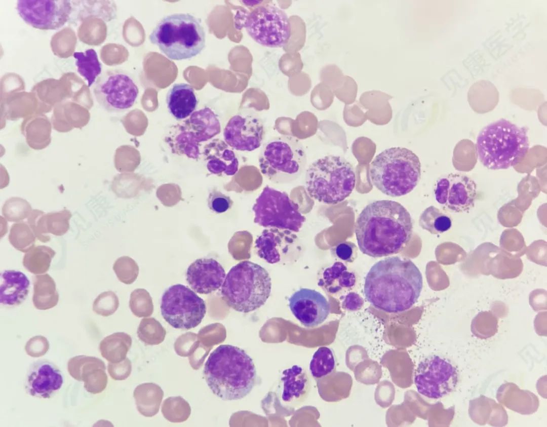
细胞形态学
 
 
 
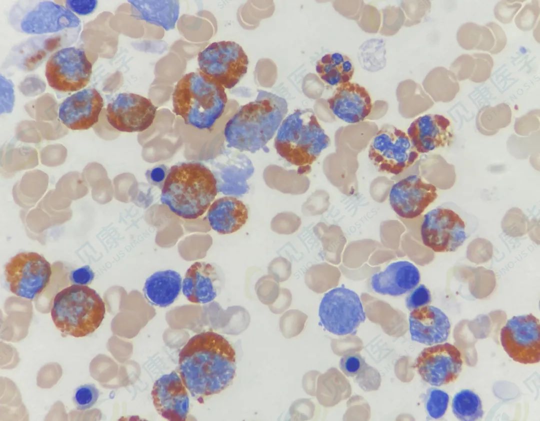
MPO染色
 
 
形态报告
 
 
NGS
 
 
诊断结果
 
Chediak-Higashi综合征(CHS)
 
(该病是罕见的常染色体隐性遗传病,目前国外报道的CHS患者<700例,国内<100例。临床主要以眼部及皮肤白化症状、反复感染、出血倾向、免疫缺陷、神经系统症状为主要表现,形态学表现为白细胞内有粗大的包涵体。CHS与溶酶体转运调节基因LYST突变有关。患者多为婴幼儿或儿童,成人罕见,本例患者为老年人,这也是本例虽形态学典型而因年龄与文献不符而不易诊断的原因,后通过NGS 证实存在LYST突变从而确诊为CHS)