【形态学病例分享】第八十三期

患者基本信息:
女,60岁,因皮肤荨麻疹就诊于皮肤科,查血常规示血小板少。
 
血常规:
WBC   4.14×109/L
HB      100 g/L 
plt       2×109/L 
 
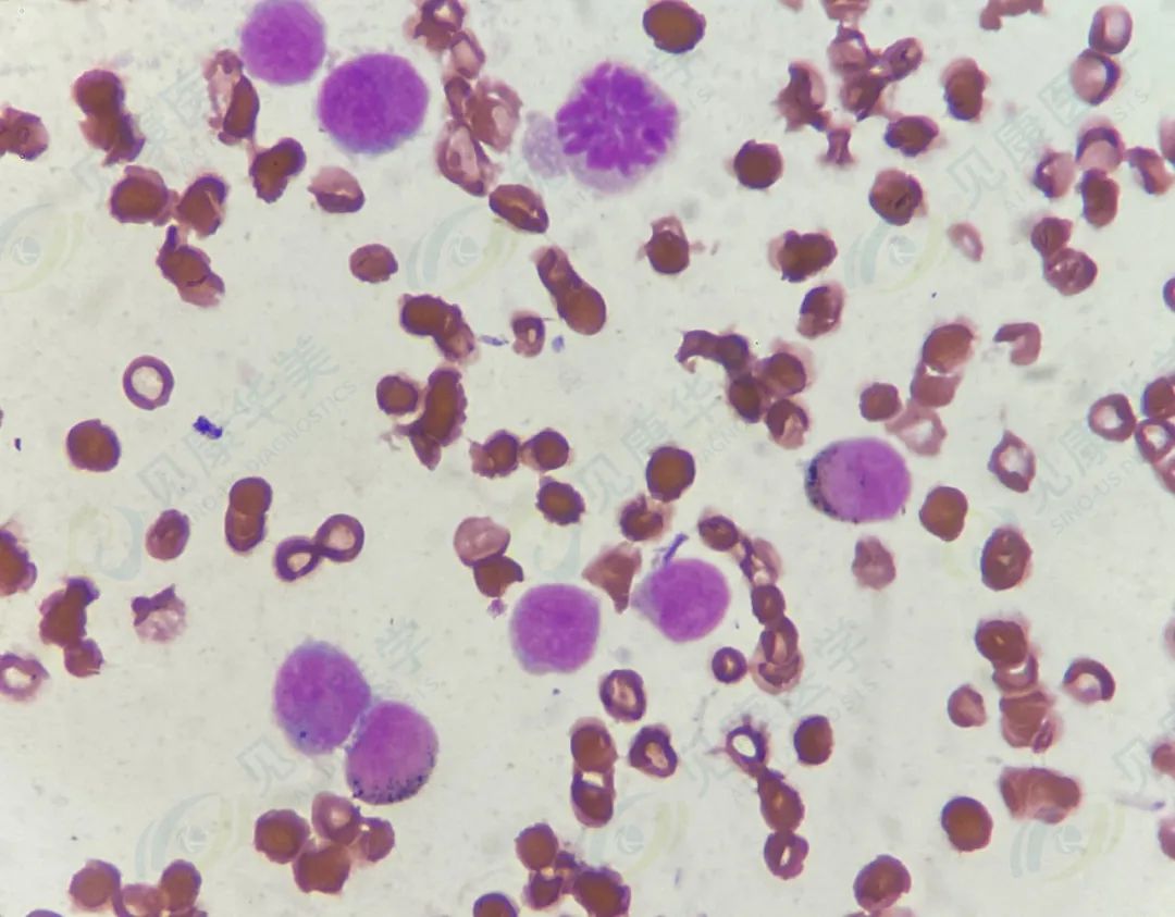
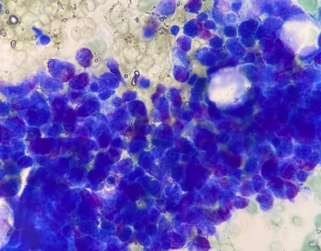
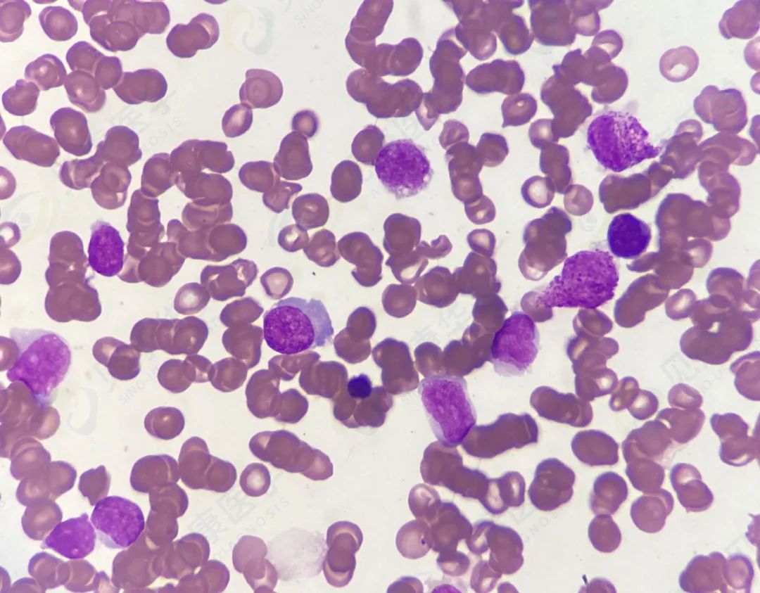
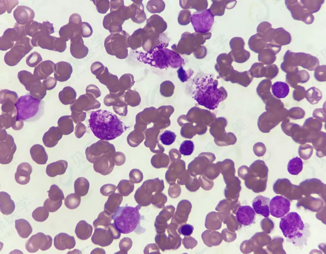
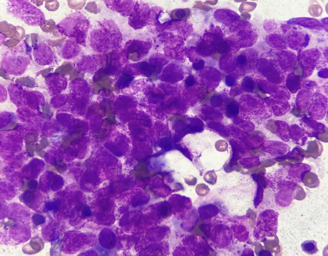
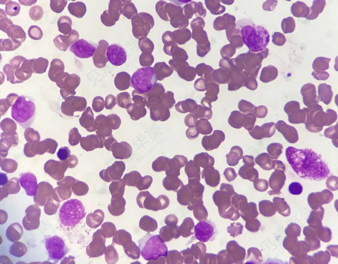
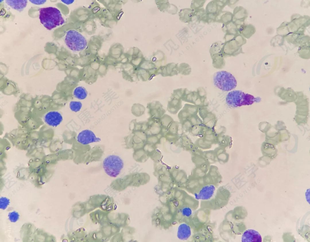
细胞形态学 
 
 
 
 
 
细胞形态学报告
 
 
细胞化学
 
 
 
 
流式细胞学
 
 
融合基因
 
 
诊断结果
 
1.AML-M5.
2.异常肥大细胞增多。尚需结合病理、KIT D816V突变、血清类胰蛋白酶检查除外系统性肥大细胞增多症伴相关血液肿瘤。
plt       2×109 /L 患者基本信息:
女,60岁,因皮肤荨麻疹就诊于皮肤科,查血常规示血小板少。
 
血常规:
WBC   4.14×109/L
HB      100 g/L 
plt       2×109 /L