【形态学病例分享】第七十六期

患者基本信息:
男,71岁, 既往贲门癌病史,目前全血细胞减少。
 
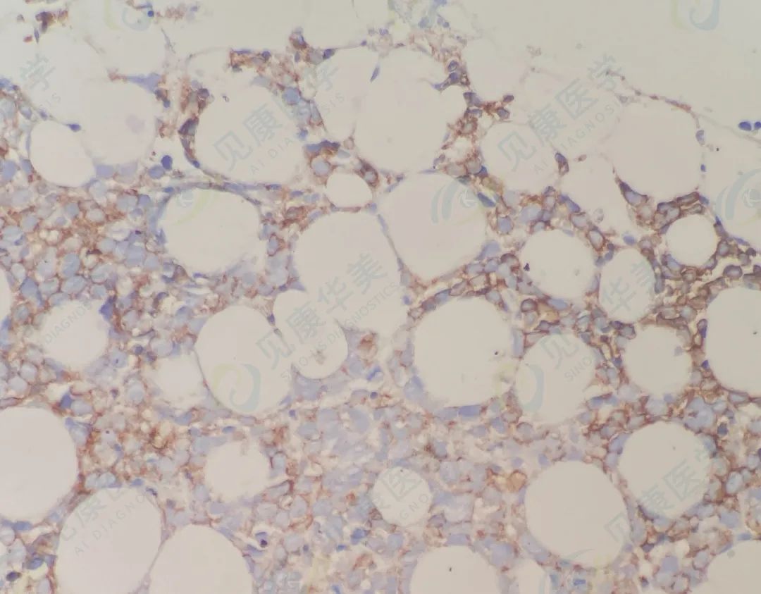
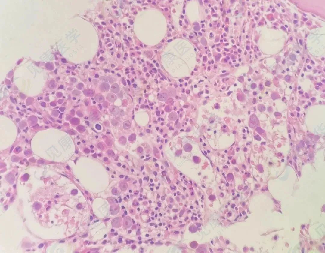
病理HE染色
 
 
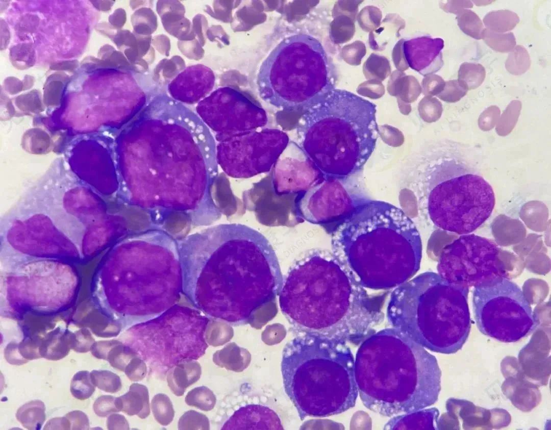
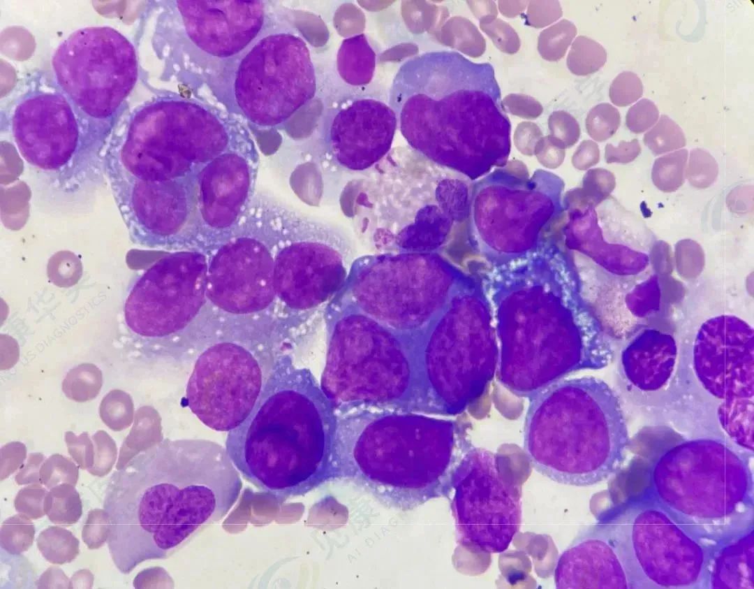
细胞形态学
 
 
 
 
病理
 
 
加做免疫组化
 
 
 
诊断结果
 
 
考虑AML-M6
 
(异常细胞需鉴别原始红细胞、转移癌细胞及淋巴瘤细胞,病理免疫组化排除了转移癌、淋巴瘤,CD43+、E-cad+、CD71+支持为红系,骨髓细胞形态学示片尾区域红系超过80%,原始红为主,考虑AML-M6)
考虑AML-M6
 
(异常细胞需鉴别原始红细胞、转移癌细胞及淋巴瘤细胞,病理免疫组化排除了转移癌、淋巴瘤,CD43+、E-cad+、CD71+支持为红系,骨髓细胞形态学示片尾区域红系超过80%,原始红为主,考虑AML-M6)