【形态学病例分享】第六十一期

患者基本信息:
男,77岁, 乏力3月。
 
血常规:
WBC   0.81×109 /L
HB      64g/L  
plt       79×109 /L
 
 
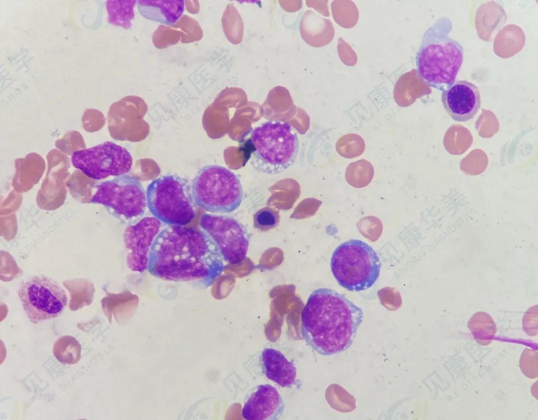
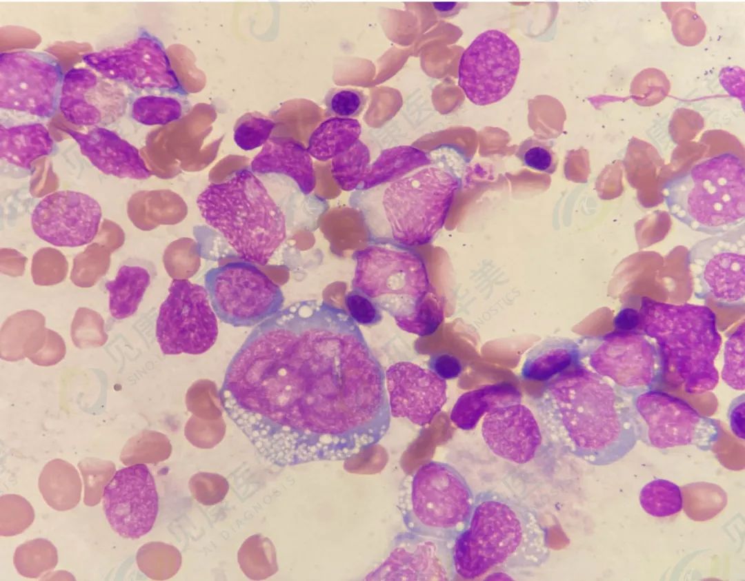
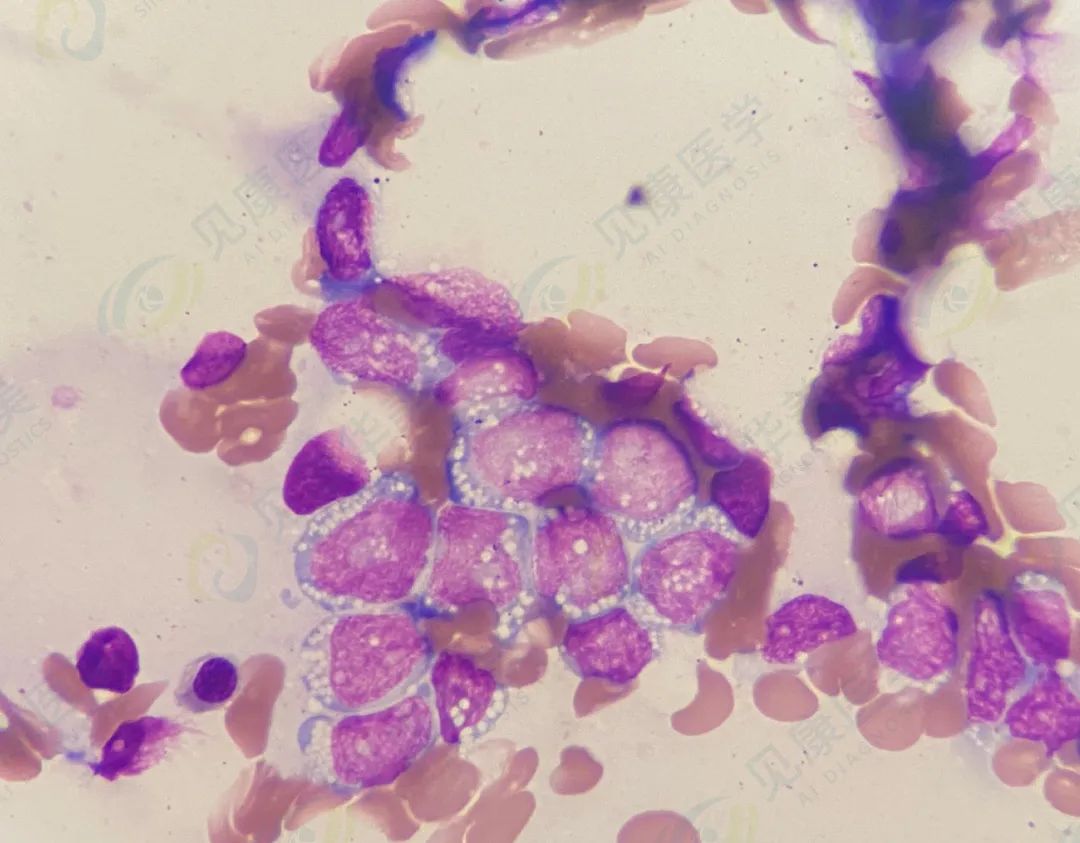
形态涂片 
 
  
 
流式 
 
 
病理 
 
 
染色体核型 
 
诊断结果
 
急性淋巴细胞白血病
(说明:该病例异常细胞胞浆空泡明显增多,常见于ALL及Burkitt淋巴瘤,少见于大B细胞淋巴瘤及其他类型淋巴瘤。异常细胞明显大小不一致,可见巨大细胞,形态更符合淋巴瘤特征,但Burkitt淋巴瘤通常大小较一致,所以具有很强的迷惑性。流式细胞学为鉴别ALL及淋巴瘤的金标准,故综合诊断为ALL。)
 
 
作者:田欣  
 
见康华美原创文章未经授权不得转载,如需转载请联系jingyuliu@sino-us-diagnostics.com