母细胞形态侵袭性B细胞淋巴瘤:如何诊断与鉴别?
母细胞形态侵袭性B细胞淋巴瘤是指具有母细胞/原始细胞形态特点的B细胞淋巴瘤,包括B急性淋巴细胞白血病/淋巴母细胞淋巴瘤 (B-ALL/LBL)、高级别B细胞淋巴瘤 (HGBL)、伯基特淋巴瘤 (BL)、套细胞淋巴瘤 (MCL) 的母细胞变型、B幼淋巴细胞白血病 (B-PLL) 等,诊断需要综合形态学、免疫表型、遗传学和分子生物学检查。应特别注意B-ALL/LBL与HGBL和BL,以及HGBL与BL和弥漫大B细胞淋巴瘤的鉴别。前者往往通过免疫表型检测细胞的发育阶段(原始或成熟)加以区分,而后者则主要通过病理组织学和荧光原位杂交 (FISH) 检测MYC、bcl-2和bcl-6基因进行诊断和鉴别。
在临床工作中,诊断方面最大的挑战在于如何区分原始细胞标记 (CD34、TdT) 阴性的B-ALL/LBL和HGBL。
近日,见康华美病理实验室主任刘恩彬教授在《中华病理学杂志》“名医堂继续教育园地”版块发表题为“以白血病为表现形式的高级别B细胞淋巴瘤”论文,以临床工作中具有教学意义的病例作为研究对象,在 2016版 WHO造血与淋巴组织肿瘤诊断标准基础上,结合文献复习,对母细胞形态 B 细胞淋巴瘤,尤其是原始细胞标记 (CD34、TdT) 阴性的B-ALL/LBL和HGBL的诊断与鉴别进行了全面而深入分析。

该文病例以外周血和骨髓累犯为主要表现,无明显髓外肿块。外周血和骨髓检查发现大量胞体中等至大的原始(母)细胞,形态似ALL。流式细胞学检测示CD5-CD10+B细胞淋巴瘤,不表达原始标记CD34和TdT。
.png)
.png)
.png)
.png)
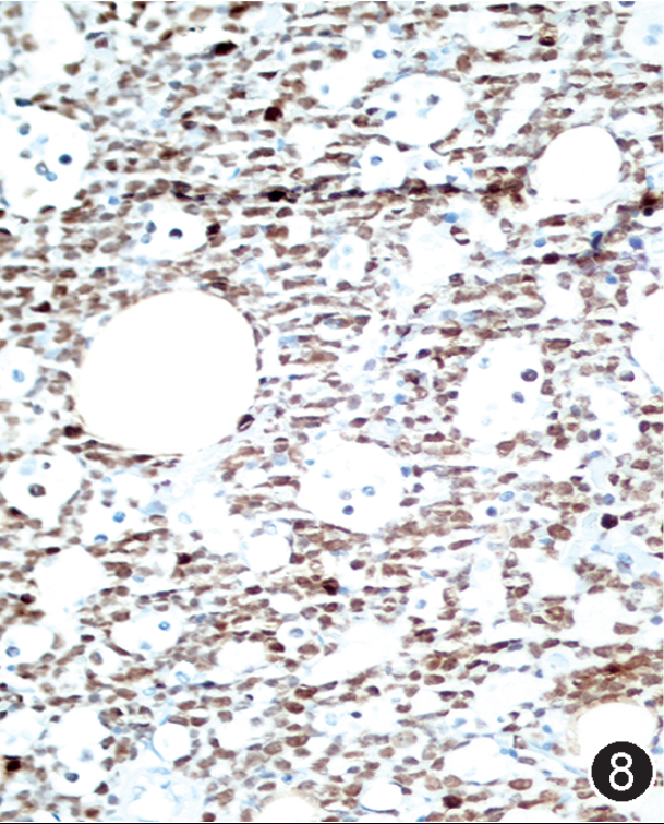
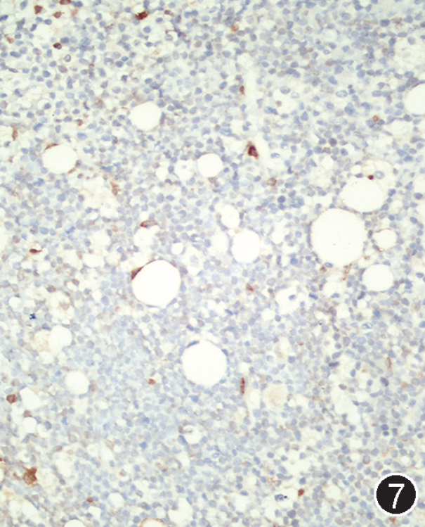
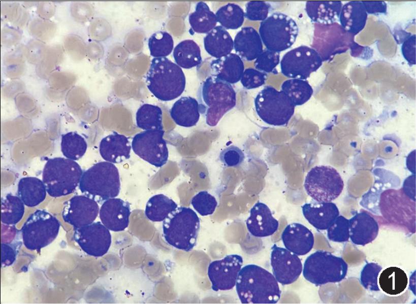
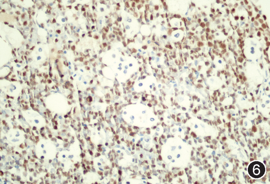
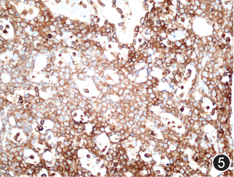
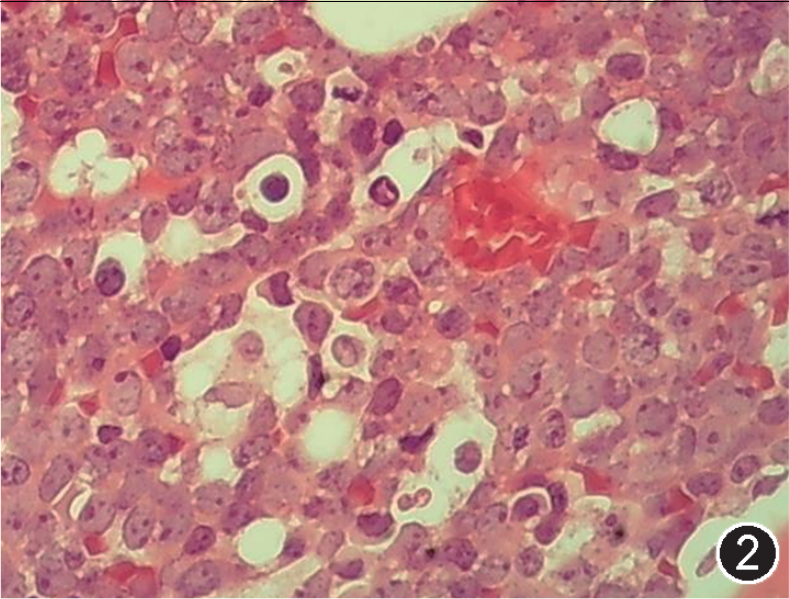
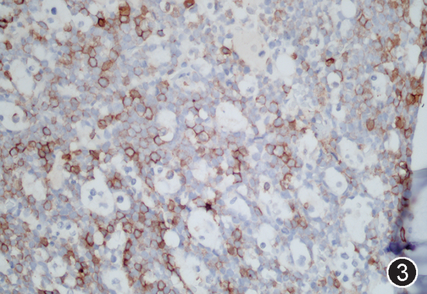
图注:图1 骨髓涂片中的肿瘤细胞(瑞氏染色,×1 000);图2 骨髓活检中的肿瘤细胞(HE, 高倍放大);图3 免疫组织化学染色,CD20部分阳性(EnVision法,中倍放大);图4 免疫组织化学染色,CD19阳性;图5 免疫组织化学染色,CD10阳性;图 6 免疫组织化学染色,MYC阳性,图 7 免疫组织化学染色,bcl-2阴性;图 8 免疫组织化学染色,Ki-67阳性指数约 80%。
根据以上检查结果,需要考虑的淋巴瘤类型包括BL、HGBL、原始细胞标记阴性B-ALL(占B-ALL<5%)以及罕见CD5-CD10+MCL的母细胞变型,须进一步进行免疫组化(包括CyclinD1、CD10、BCL6、MUM1、MYC、BCL2、Ki67)、染色体核型、FISH检测(MYC、BCL2、BCL6、IgH-CCND1)以及白血病融合基因检测加以区分。最终流式细胞学示肿瘤细胞CD38强表达、表达sIgM、sIgD和胞膜Kappa,免疫组化CyclinD1-,细胞遗传学示复杂核型,FISH检测MYC和bcl-6基因重排阳性,白血病52种融合基因阴性,二代测序提示存在TP53、CCND3、MYC、TCF3、FOXO1等HGBL、DLBCL中而非B-ALL/LBL中的常见基因突变类型,因此综合诊断为HGBL伴MYC和bcl-6基因重排。
HGBL、B-ALL/LBL、BL、DLBCL的诊断与鉴别,需要进行全面的形态学(外周血和骨髓涂片、骨髓活检)、免疫表型(流式细胞学和免疫组织化学)、细胞遗传学(核型和MYC、bcl-2、bcl?6、IgH-CCND1的FISH)和分子生物学(白血病融合基因、淋巴瘤的二代测序)检测。通过二代测序筛查不同的基因突变类型,对于HGBL,NOS和BL以及HGBL,NOS和与原始细胞标记阴性B-ALL/LBL的鉴别十分重要。
见康华美为您提供侵袭性B细胞淋巴瘤检测方案,检测项目包括:
病理与形态学:外周血和骨髓涂片、骨髓活检、组织活检,专家病理会诊;
免疫表型:流式细胞、免疫组化;
细胞遗传学:染色体核型、FISH (MYC、BCL2、BCL6、IgH-CCND1、TP53);
白血病融合基因:52种融合基因筛査、血液肿瘤融合基因筛查全套 (NGS);
淋巴瘤基因突变筛查:血液肿瘤基因检测全面版、淋巴瘤198种基因突变筛查、淋系肿瘤相关基因热点突变筛查。
作者介绍
刘恩彬——见康华美医学诊断中心病理室主任
从事血液病理诊断工作 20余年,擅长各种血液病的病理诊断,如再生障碍性贫血、骨髓增生异常综合征、骨髓增殖性肿瘤、急性白血病、淋巴瘤等。带领团队每年完成骨髓活检诊断三万余例、淋巴瘤诊断三千余例,在国内外核心期刊发表第一作者论文30余篇,参编了多部血液病理学专著,同时担任多个学会及学组的常委委员等社会兼职。
撰稿:陈斌
审核:刘恩彬
撰稿:陈斌
审核:刘恩彬
参考文献:刘恩彬, 孙丽丹, 张静芳, 等 . 以白血病为表现形式的高级别 B 细胞淋巴瘤[J]. 中华病理学杂志, 2022, 51(4): 389-392.
参考文献:刘恩彬, 孙丽丹, 张静芳, 等 . 以白血病为表现形式的高级别 B 细胞淋巴瘤[J]. 中华病理学杂志, 2022, 51(4): 389-392.