【形态学病例分享】第四十一期

患者基本信息:
 
男,53岁, 血象三系减低(具体数据未提供),脾大。
 
形态涂片 
 
 
 
鉴别诊断 
 
组织胞浆菌
 
(示意图)
胞质浅蓝色至蓝色,常呈半月形并集中于孢子的一端,胞核紫红色圆形或半圆形,约占胞体的1/3-1/2,部分孢子的胞壁厚,使其周围形成不着色的空晕,形似荚膜。
 
马尔尼菲青霉菌
 
(图片由云南省第二人民医院候霞提供)
 
(示意图)
 
真菌,属裂殖,类圆形、长圆形或腊肠形,大小不一,常有隔膜将其分为两段,孢子着色不均,一端浓染,胞膜清楚,有1-2个紫红色小核,可以在中性粒细胞胞浆内,也可以散于细胞外,数量多少不定,可在痰涂片、伤口组织切片、骨髓涂片等标本中检出,提示临床感染。是艾滋病患者最常合并的机会感染。
 
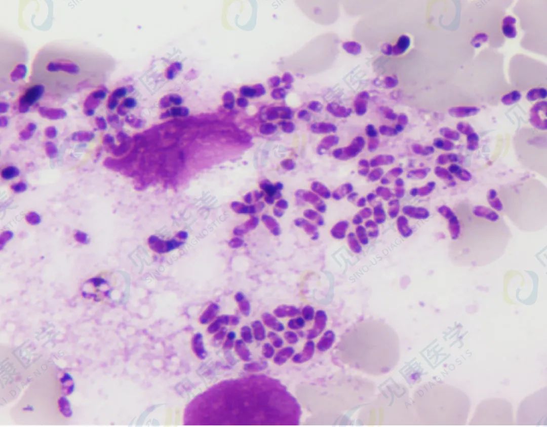
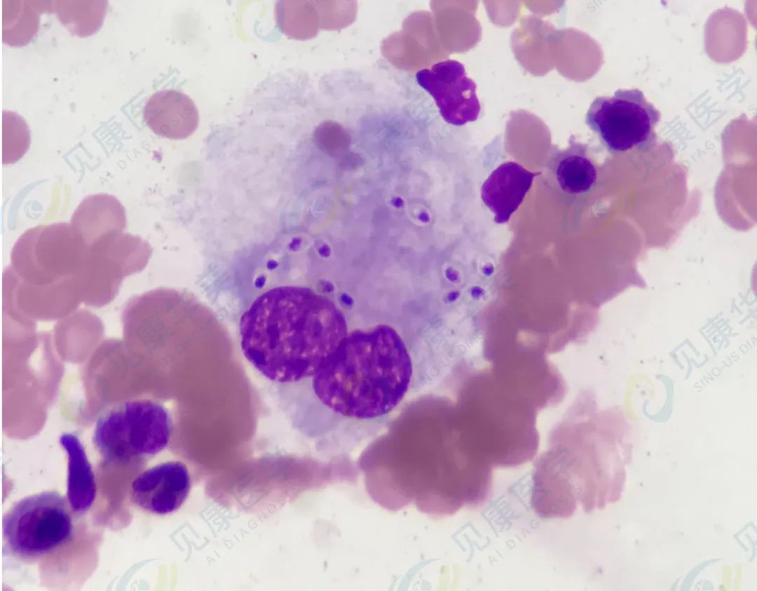
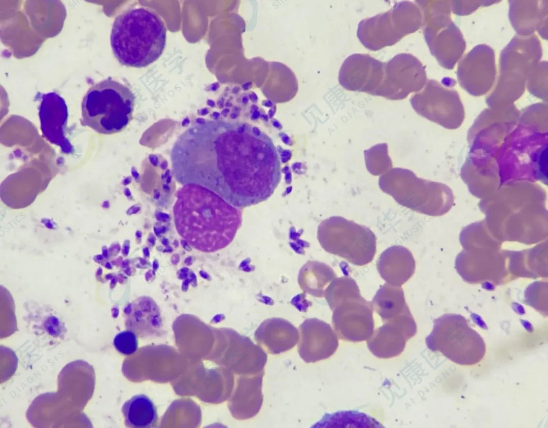
黑热病(利-杜小体)
(示意图)
 
黑热病的病原体,与血小板大小相似,胞质淡蓝色,胞核紫红色,核旁有一紫红色、杆状的动基体,黑热病患者骨髓中可见利杜小体,外周血少见。
 
 
诊断结果
 
黑热病(利-杜小体)
 
 
 
 
作者:田欣 
 
见康华美原创文章未经授权不得转载,如需转载请联系jingyuliu@sino-us-diagnostics.com