【形态学病例分享】第三十四期

患者基本信息
男,64岁, 乏力一月, 肝、脾、淋巴结不大。
 
血常规:
         WB    15.57×109/L
HB     92g/L
   PLT    3×109 /L
 
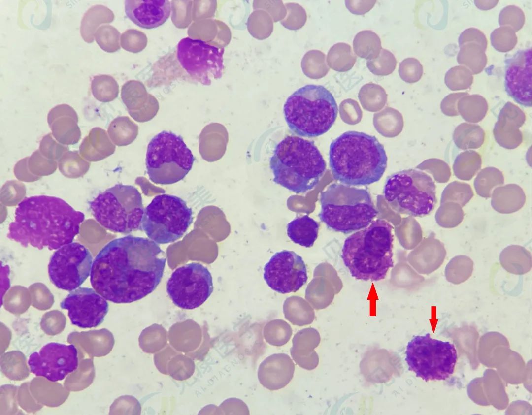
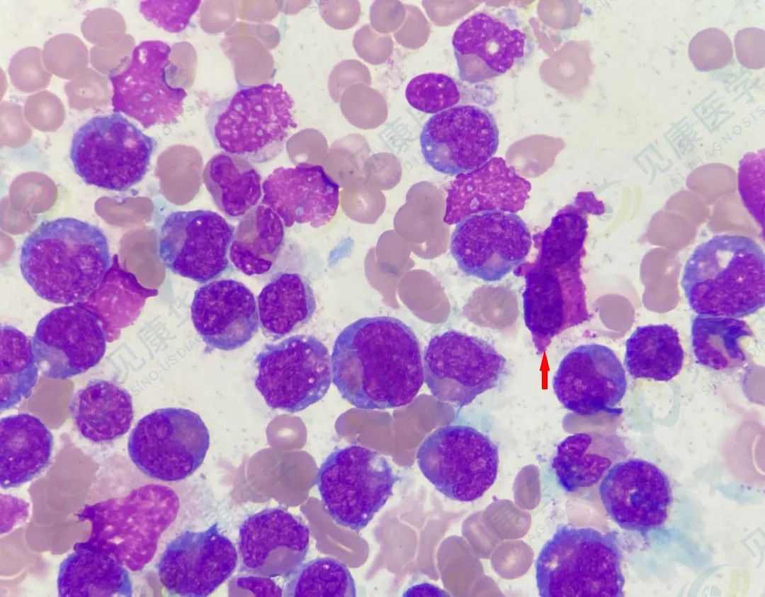
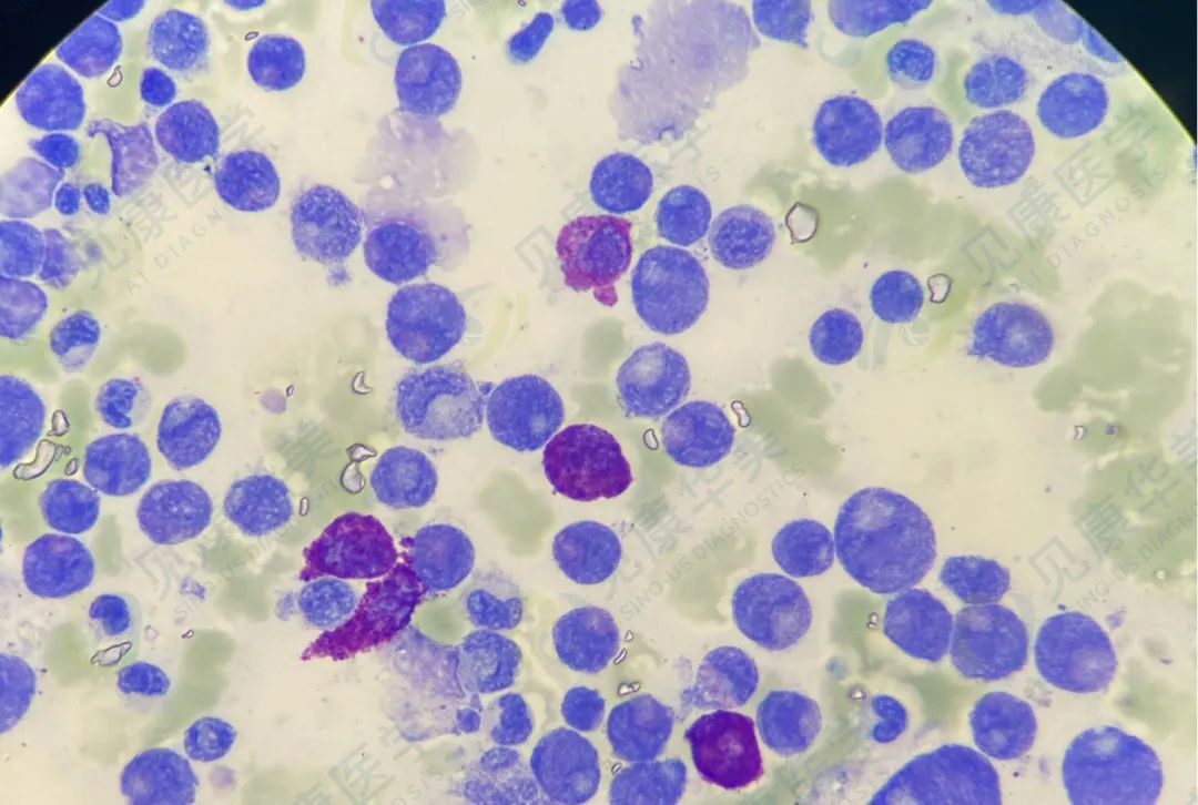
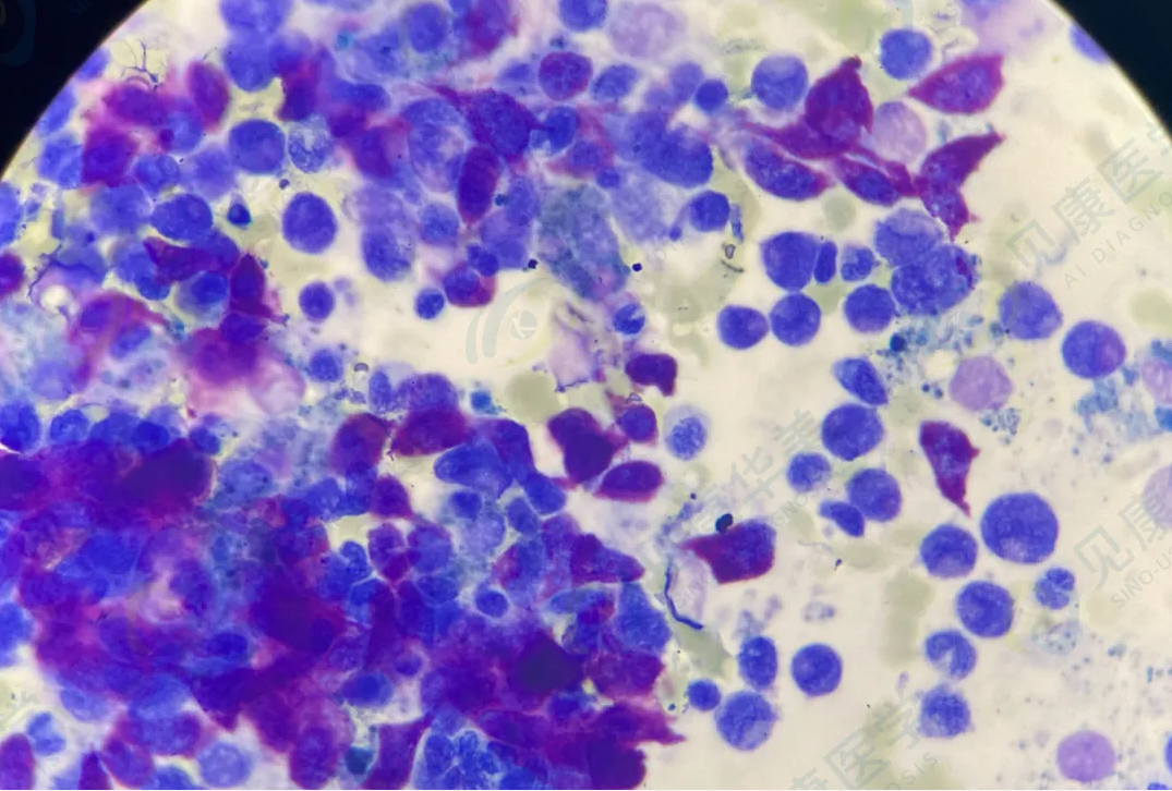
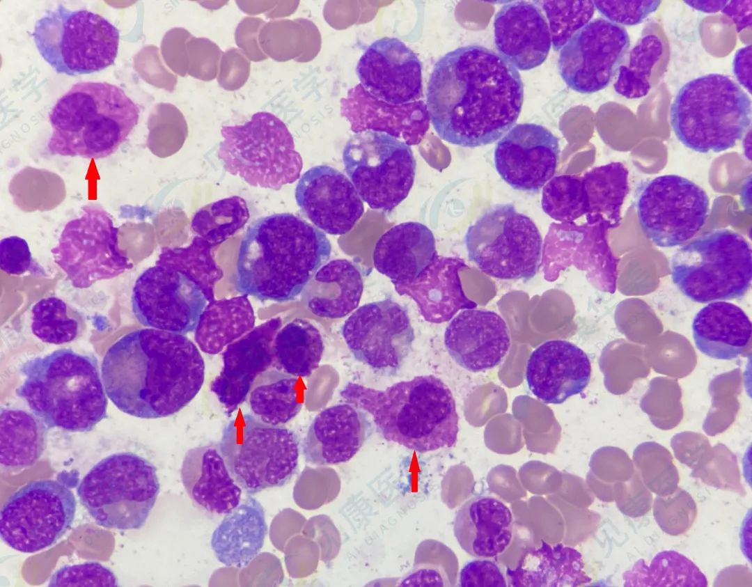
形态涂片 
  
 
异常肥大细胞约6%,小粒中易见
 
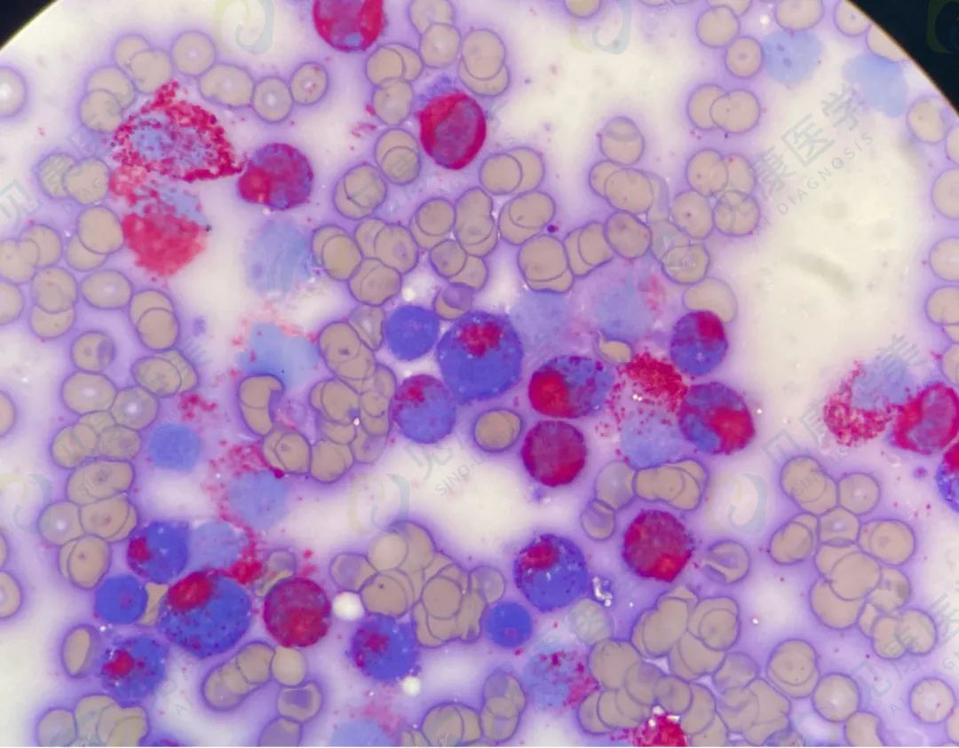
细胞化学 
 
MPO
 
CE
 
甲苯胺蓝
 
流式细胞学
 
染色体核型
 
 
诊断结果
 
AML伴t(8;21)
 
异常肥大细胞增多,不除外肥大细胞增生症,建议加做病理活检进一步确定
 
 
 
 
作者:欣   王占龙   陈雪晶   杨少斌 
 
见康华美原创文章未经授权不得转载,如需转载请联系jingyuliu@sino-us-diagnostics.com
AML伴t(8;21)
 
异常肥大细胞增多,不除外肥大细胞增生症,建议加做病理活检进一步确定。
PLT    3×109 /L患者基本信息
 
男,64岁, 乏力一月, 肝、脾、淋巴结不大。
 
血常规:
 
WB    15.57×109 /L
 
HB     92g/L
 
PLT    3×109 /L