【形态学病例分享】第二十八期

患者基本信息:
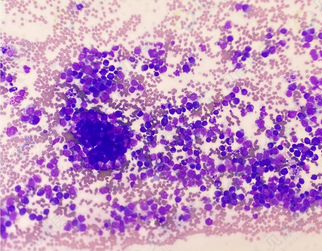
男,72岁, 腹部不适,肝、脾、淋巴结不大。
血常规:
WBC  3.22×109  /L  
RBC   2.43×1012 /L  
HB     69  g/L  
PLT    67×109 /L
 
 
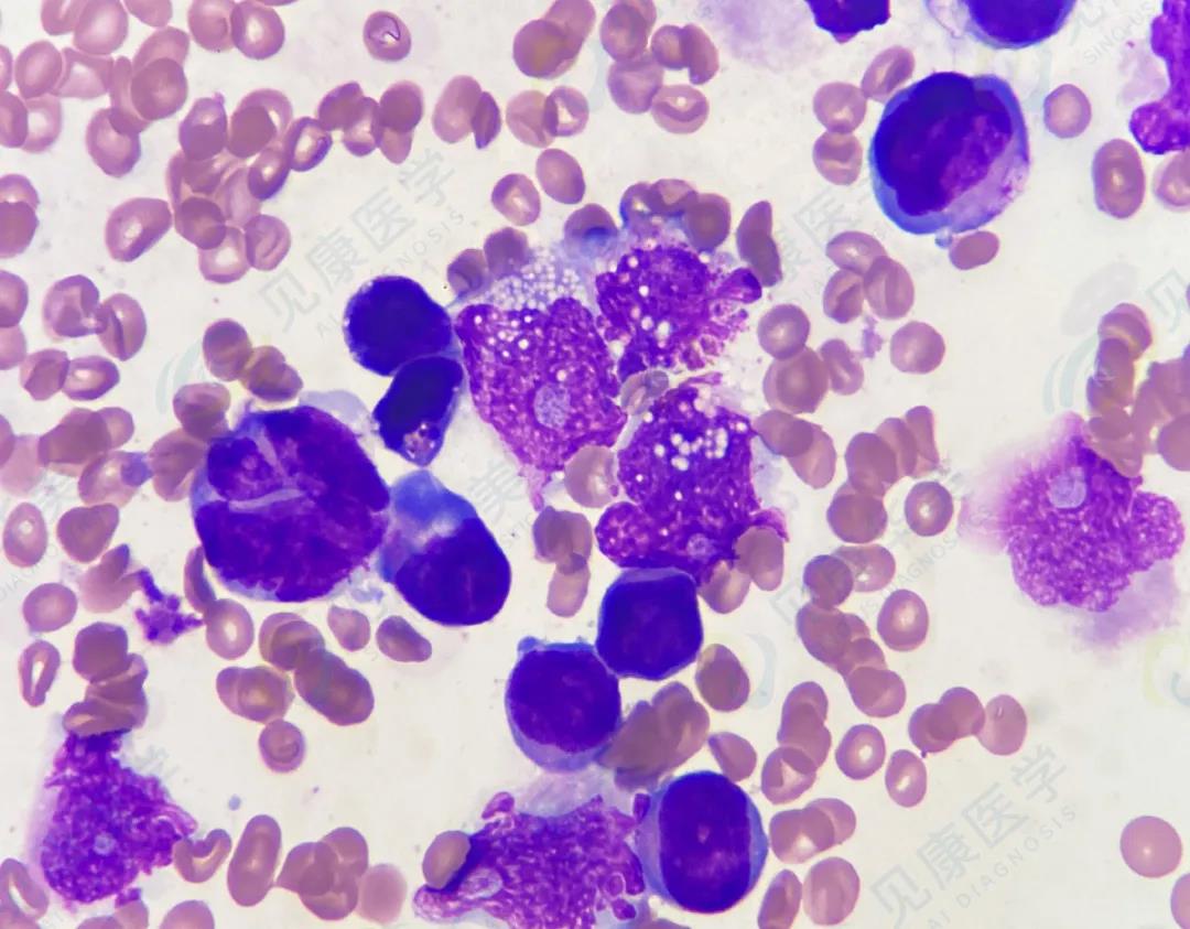
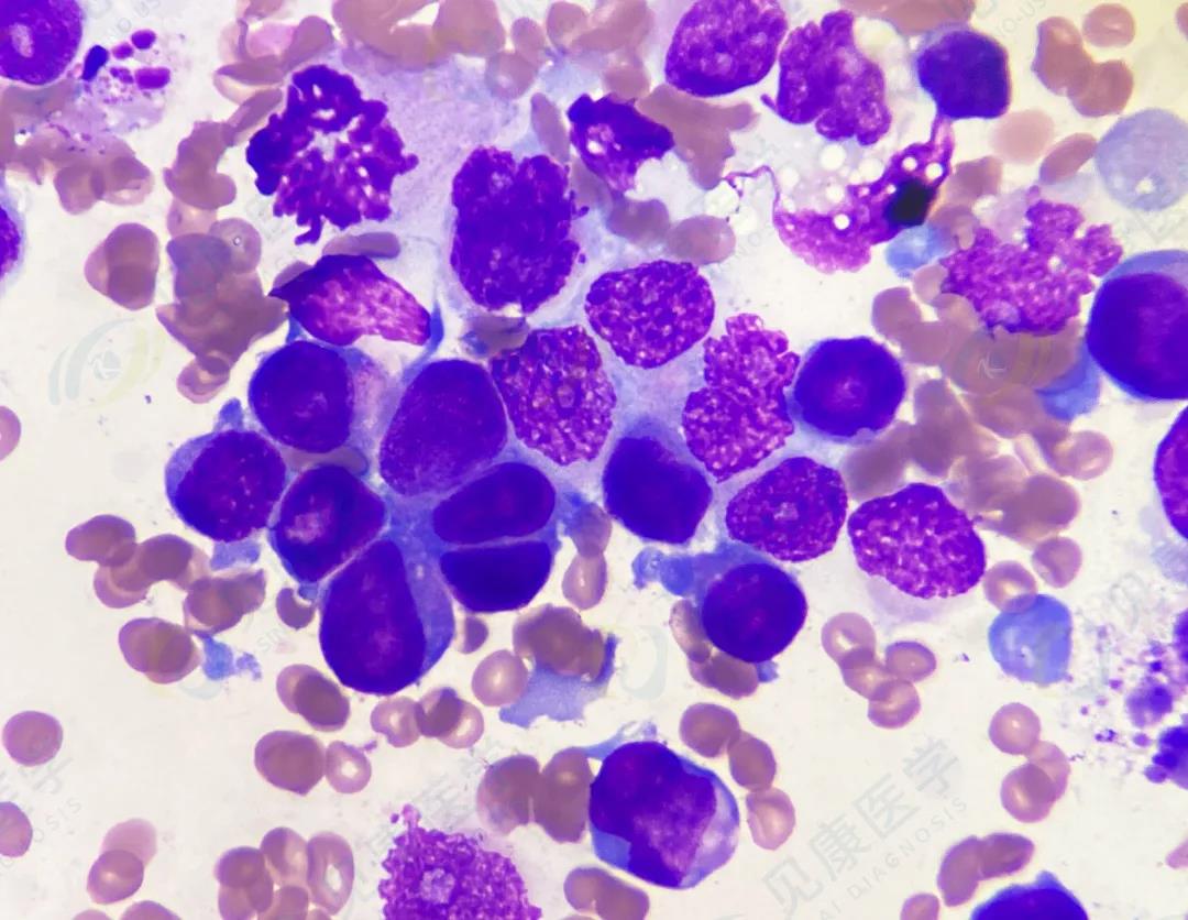
骨髓涂片 
 
 
 
 
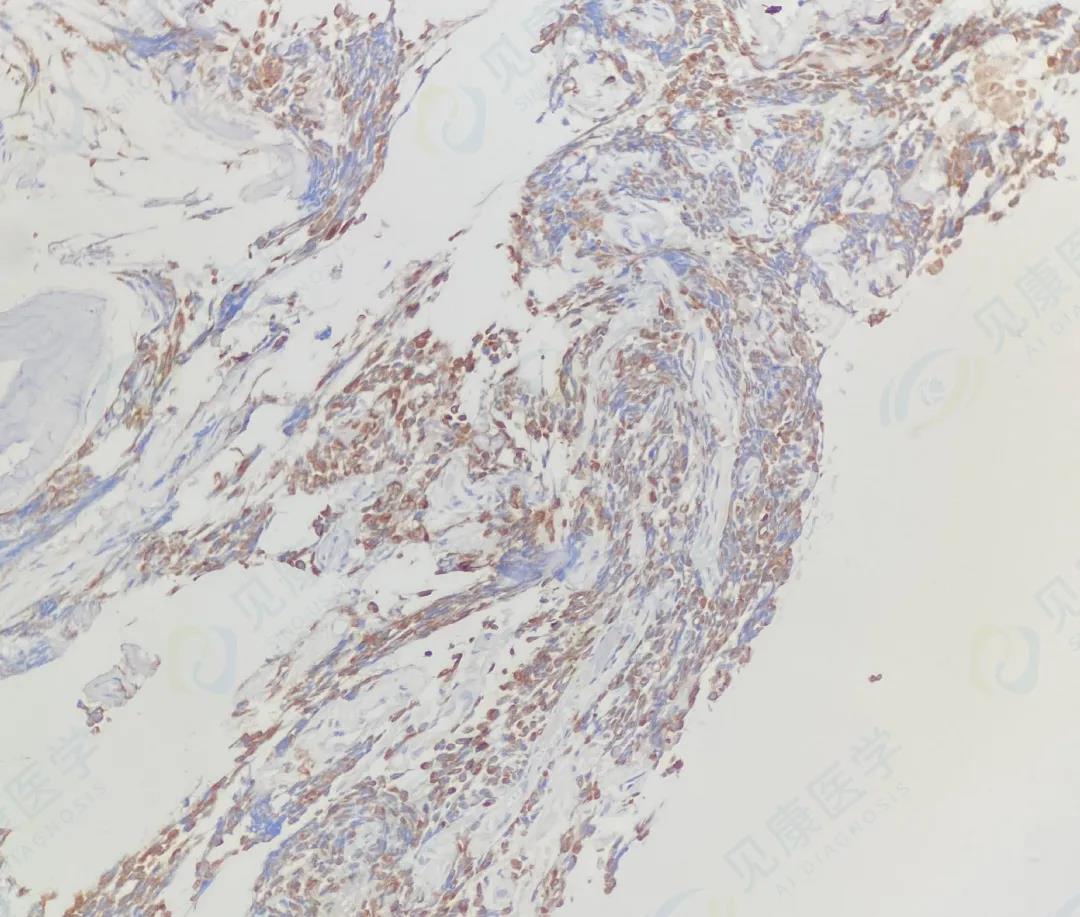
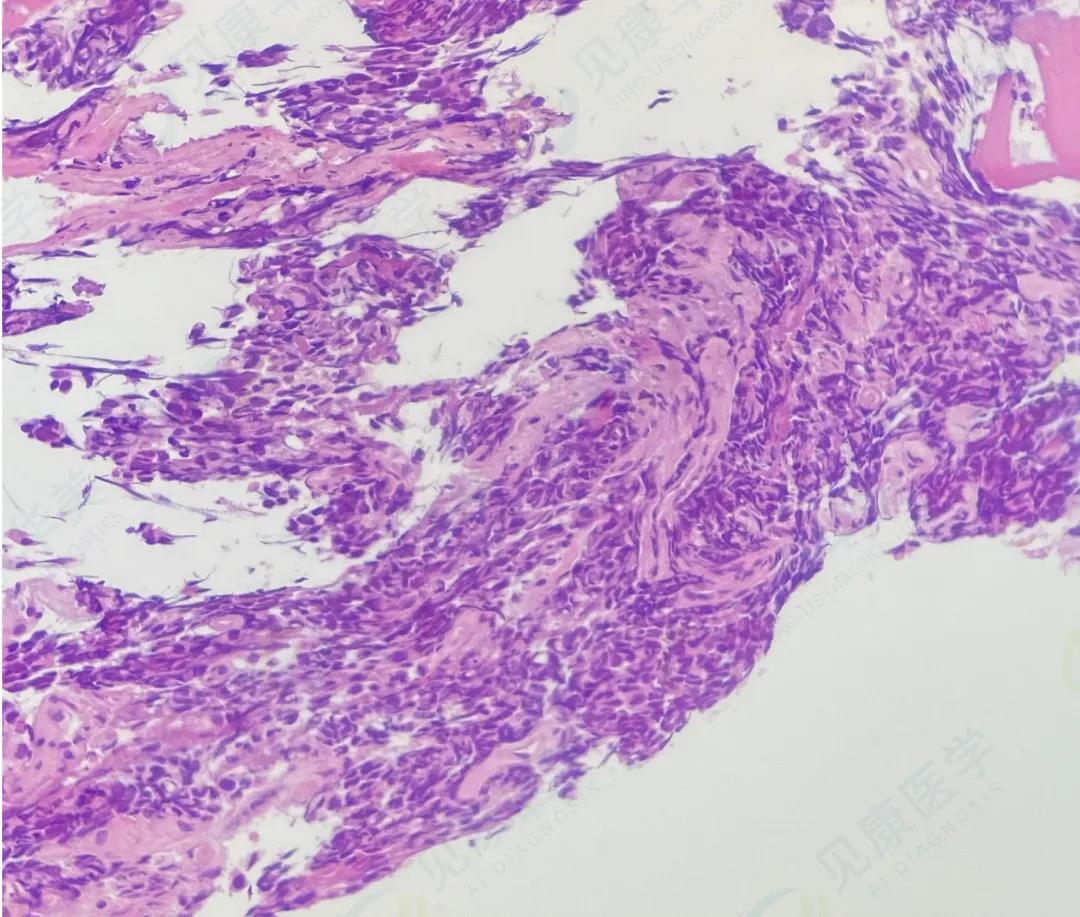
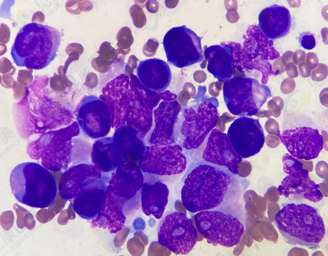
 病理
HE
 
CK
 
 
 
诊断结果
 
骨髓转移癌
(临床后续检查为前列腺癌)
骨髓转移癌
(临床后续检查为前列腺癌)
 
 
 
 
作者:田欣 
 
见康华美原创文章未经授权不得转载,如需转载请联系jingyuliu@sino-us-diagnostics.com