【形态学病例分享】第二十六期

患者基本信息:
男,72岁,无肝、脾、淋巴结肿大,无发热、出血。
血常规:
WBC   5.26 ×109  /L
HB      84 g/L 
PLT     27×109 /L 
 
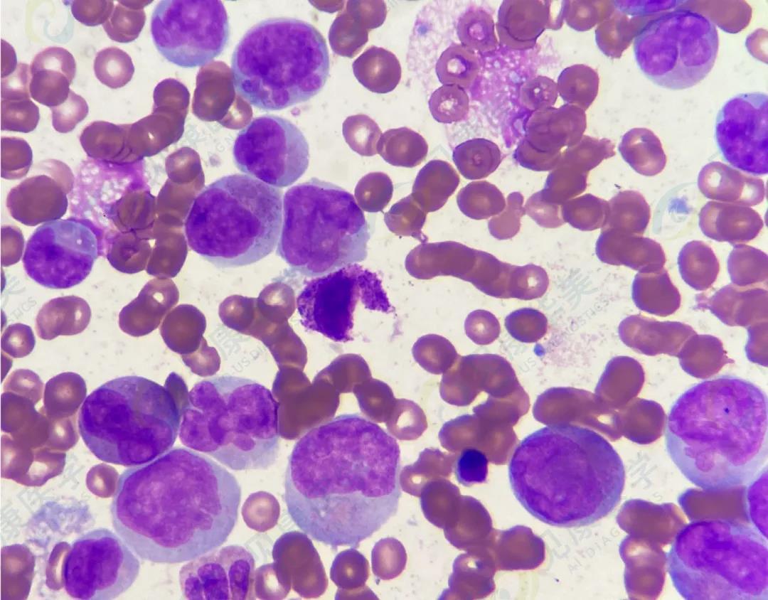
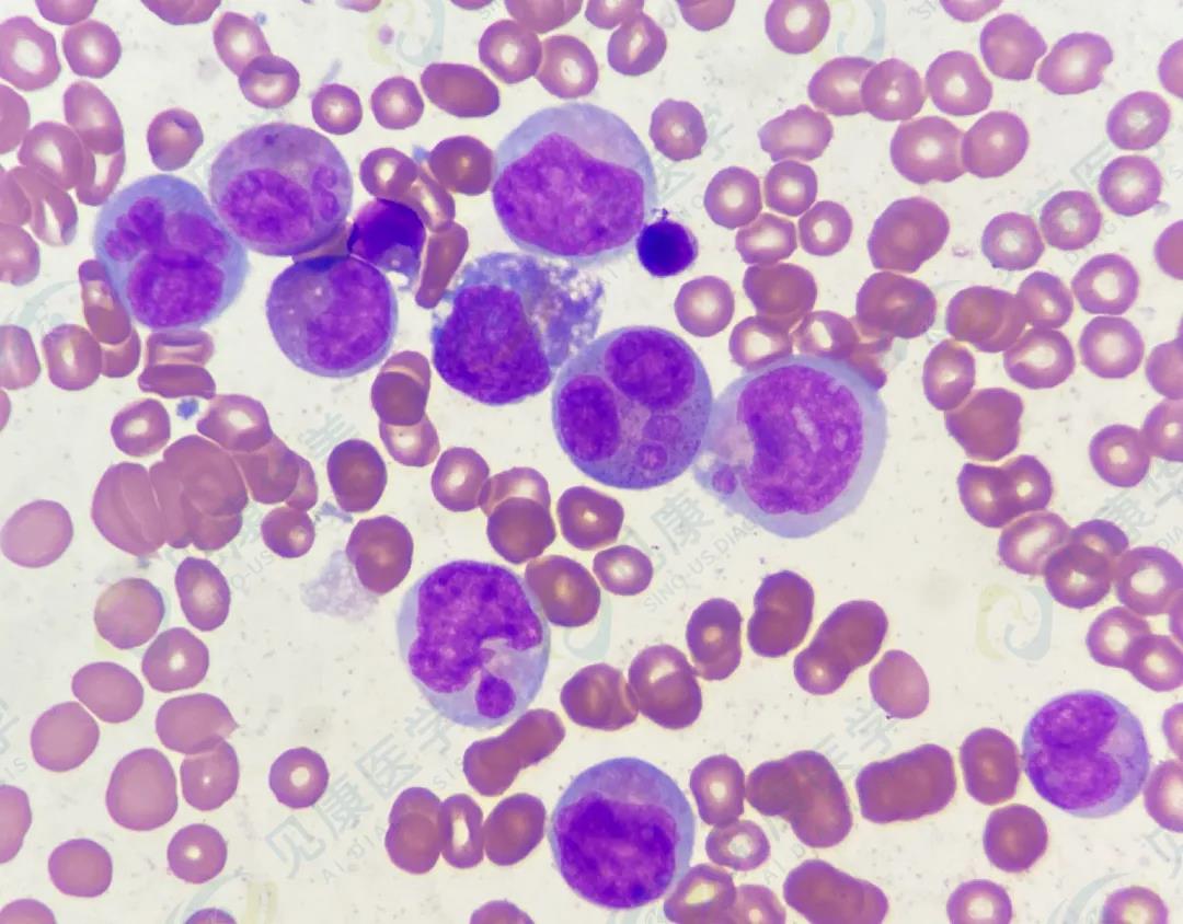
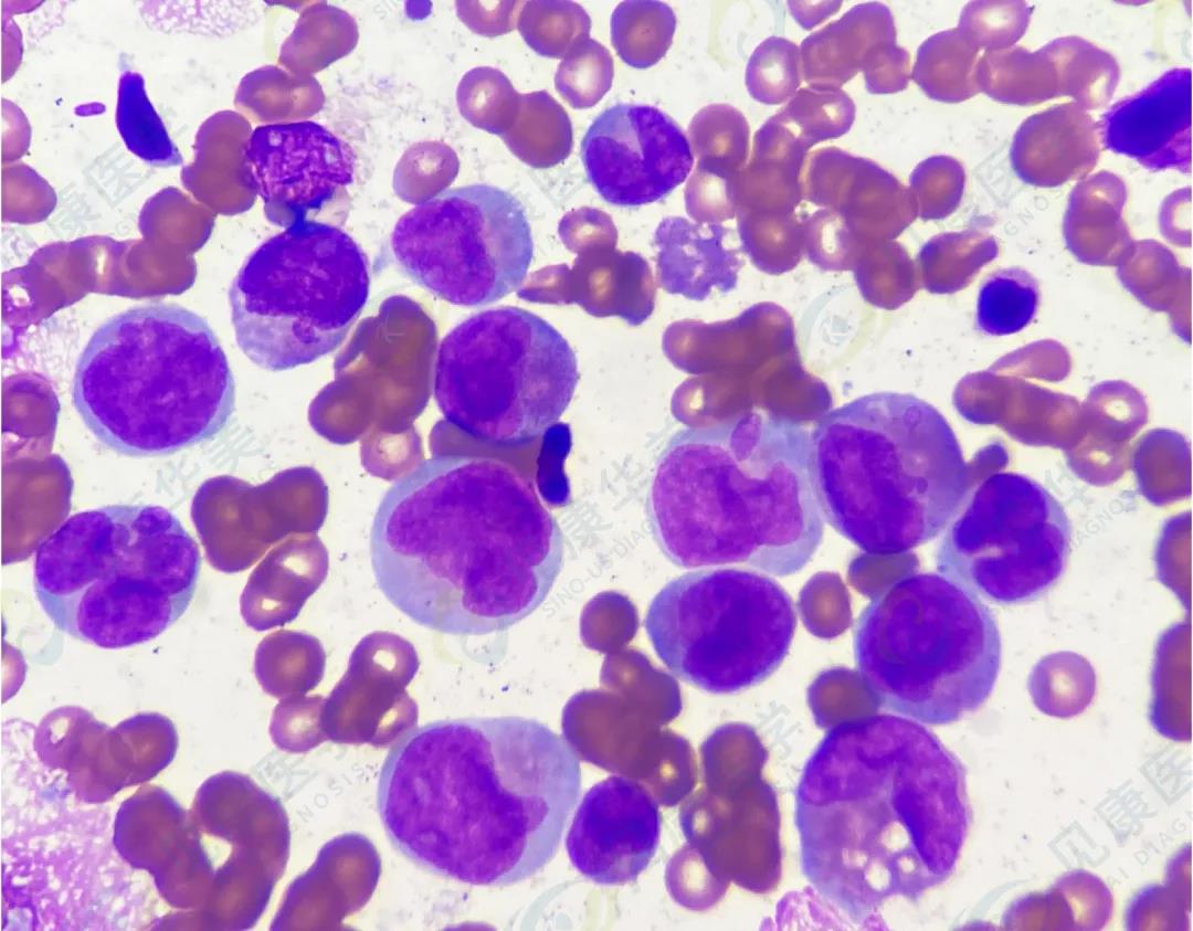
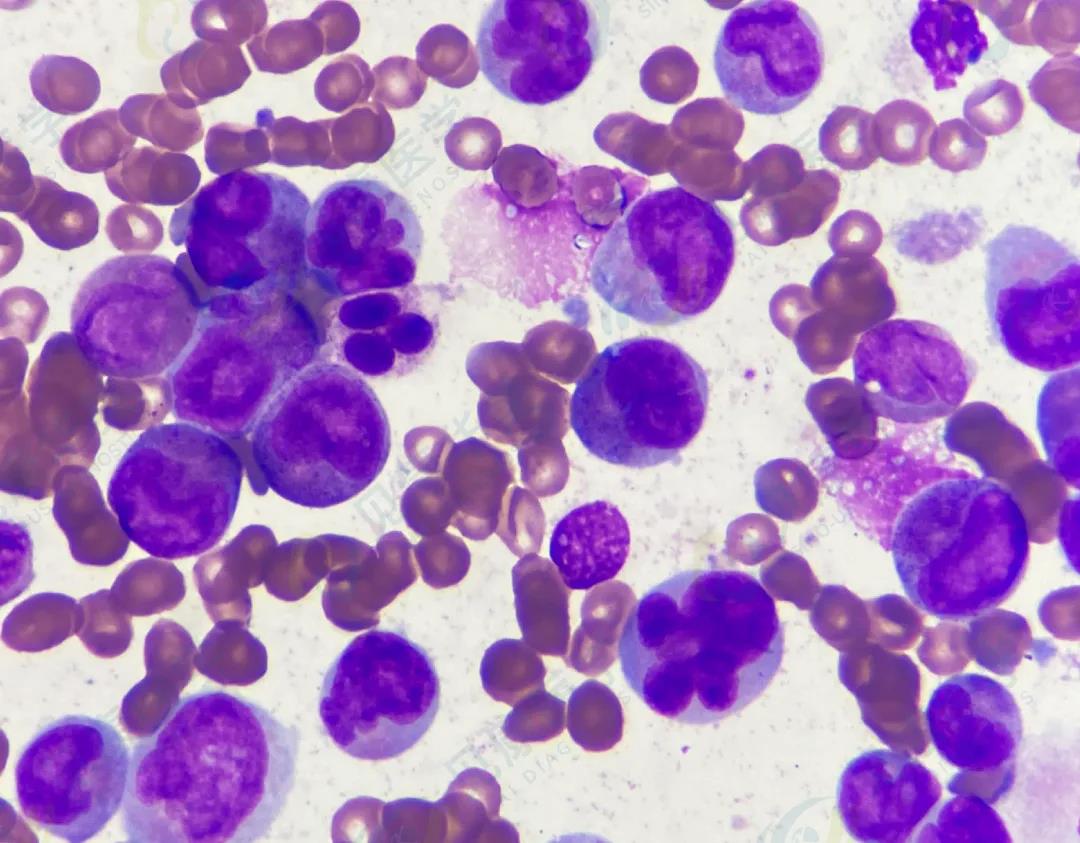
形态涂片
  
 
  
 
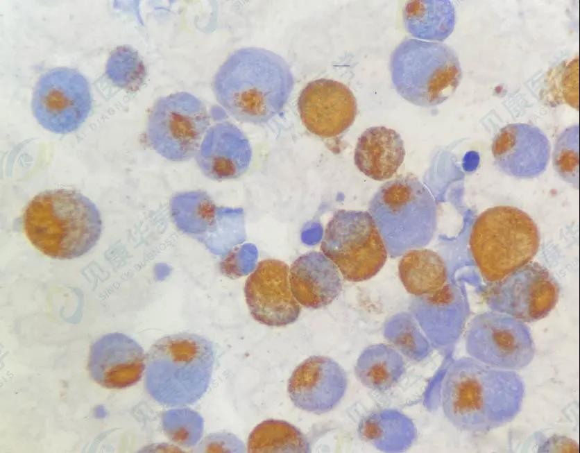
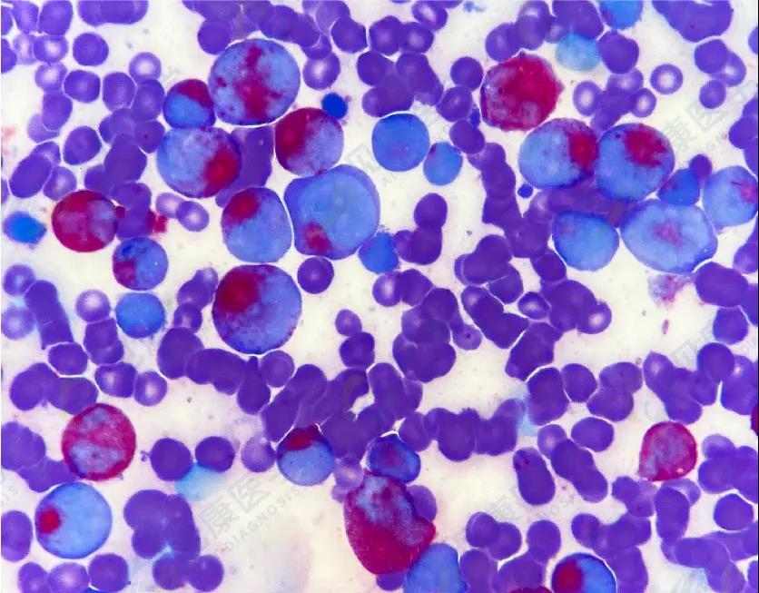
 细胞化学 
MPO
CE
 
 流式细胞学 
 
 染色体核型 
 
 
 
诊断结果
 
AML伴t(8;21)
 
 
 
作者:田欣  王占龙  陈雪晶  杨少斌
 
见康华美原创文章未经授权不得转载,如需转载请联系jingyuliu@sino-us-diagnostics.com
 
患者基本信息:
男,72岁,无肝、脾、淋巴结肿大,无发热、出血。
血常规:
WBC   5.26 ×109 /L
HB      84 g/L 
PLT     27×109 /L