【形态学病例分享】第二十三期

患者基本信息:
男,61岁,消瘦乏力1月,脾大,淋巴结未触及肿大。 
血常规:
              WBC  102.8 ×109/L,    
HB     105 g/L
   PLT    93×109/L
 
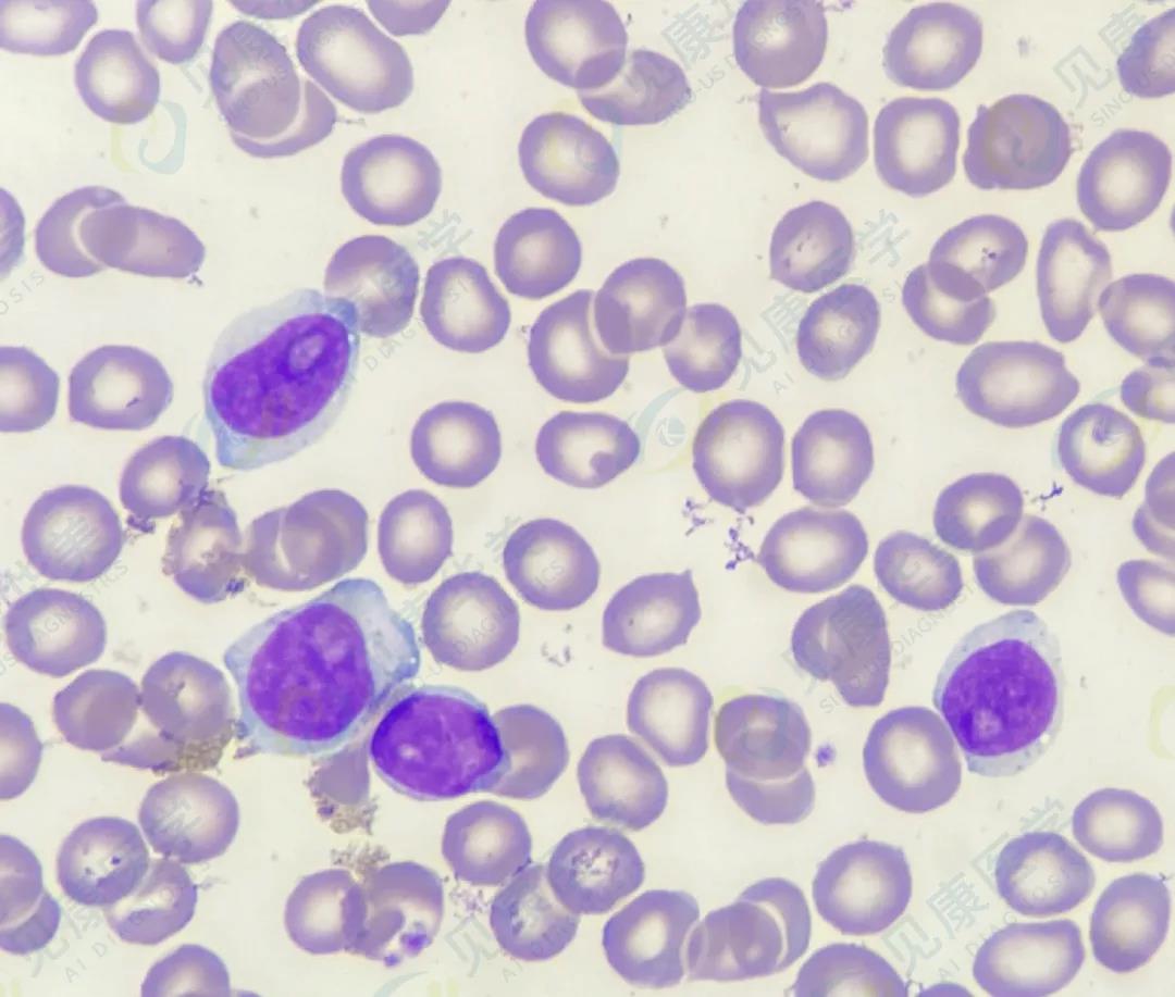
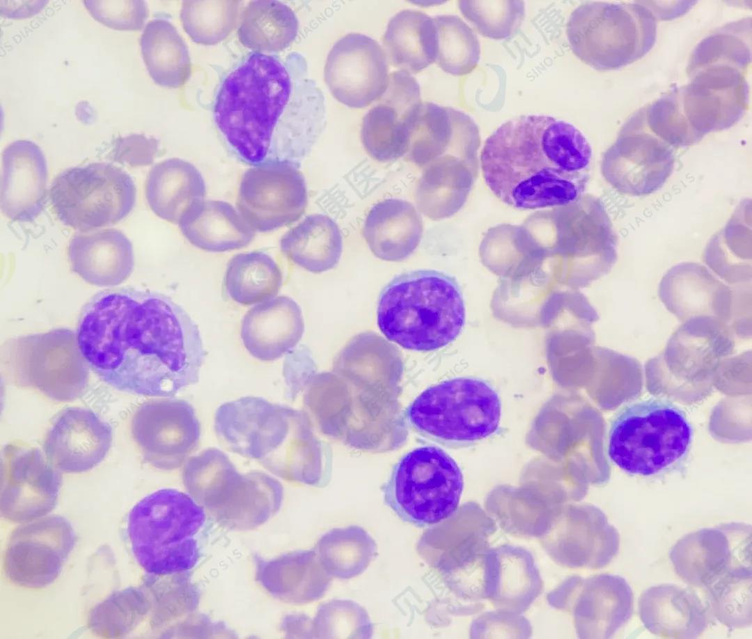
骨髓涂片 
 
骨髓异常细胞约78.5%
 
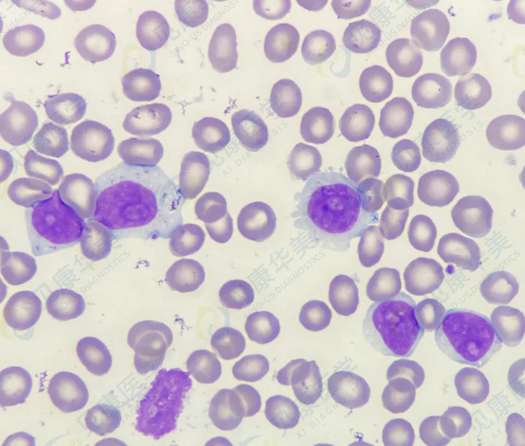
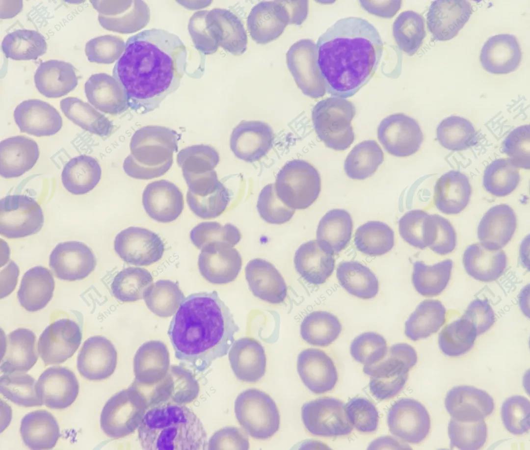
外周血涂片 
 
 
外周血异常细胞约97%
 
流式细胞学 
病理活检 
 
诊断结果
 
幼淋巴细胞白血病
 
作者:田欣  陈雪晶
 
见康华美原创文章未经授权不得转载,如需转载请联系jingyuliu@sino-us-diagnostics.com
 
 
 
患者基本信息:
男,61岁,消瘦乏力1月,脾大,淋巴结未触及肿大。 
血常规:
WBC  102.8 ×109/L,    
HB     105 g/L
PLT    93×109/L
PLT    93×109/L患者基本信息:
男,61岁,消瘦乏力1月,脾大,淋巴结未触及肿大。 
血常规:
WBC  102.8 ×109/L,    
HB     105 g/L
PLT    93×109/L