【形态学病例分享】第二十期

患者基本信息
女,39岁。
血常规:
WBC  2.14×109/L
RBC  1.76×1012 /L
HB     58 g/L
PLT    17 ×10 /L 
 
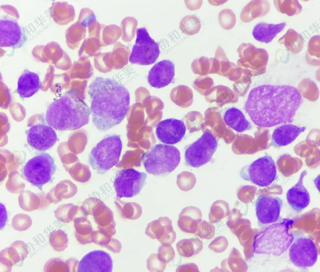
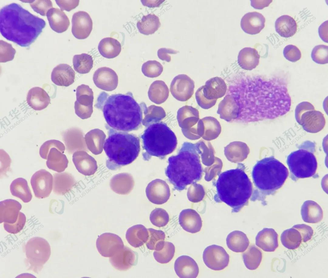
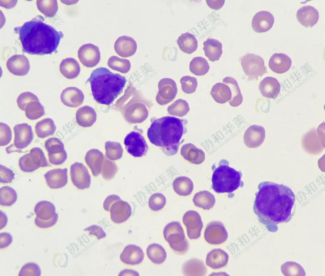
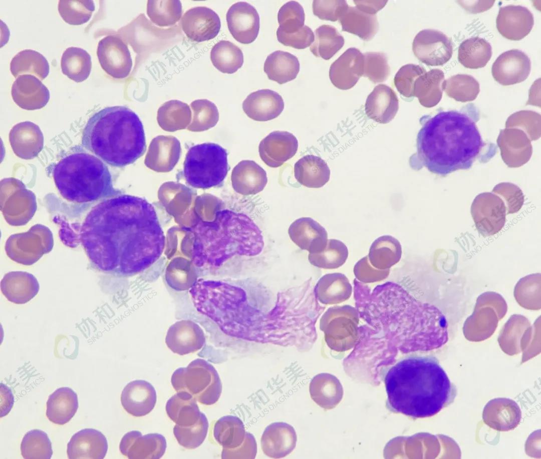
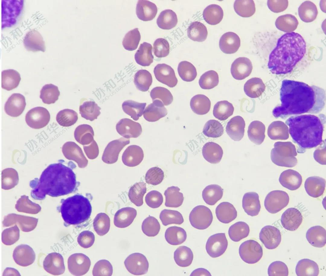
形态涂片 
 
 
 
 
 
FISH检测 
 
 
RARα分离探针:阳性率85%
 
  
 
PML/RARα探针有两类信号:2F1R1G(典型信号)阳性率13%;1F2R2G,阳性率70%,存在一个融合信号,提示核型可能存在三元易位。
 
诊断结果
 
AML-M3v
 
 
 
 
 
作者:田欣  杨少斌
 
协和华美原创文章未经授权不得转载,如需转载请联系jingyuliu@sino-us-diagnostics.com