【形态学病例分享】第十七期

患者基本信息
女,72岁,诊断肾脏淀粉样变性6年。
血常规: 
WBC  1.88×109/L
RBC  1.8×1012/L  
HB      66  g/L  
   PLT     99 ×109/L 
 
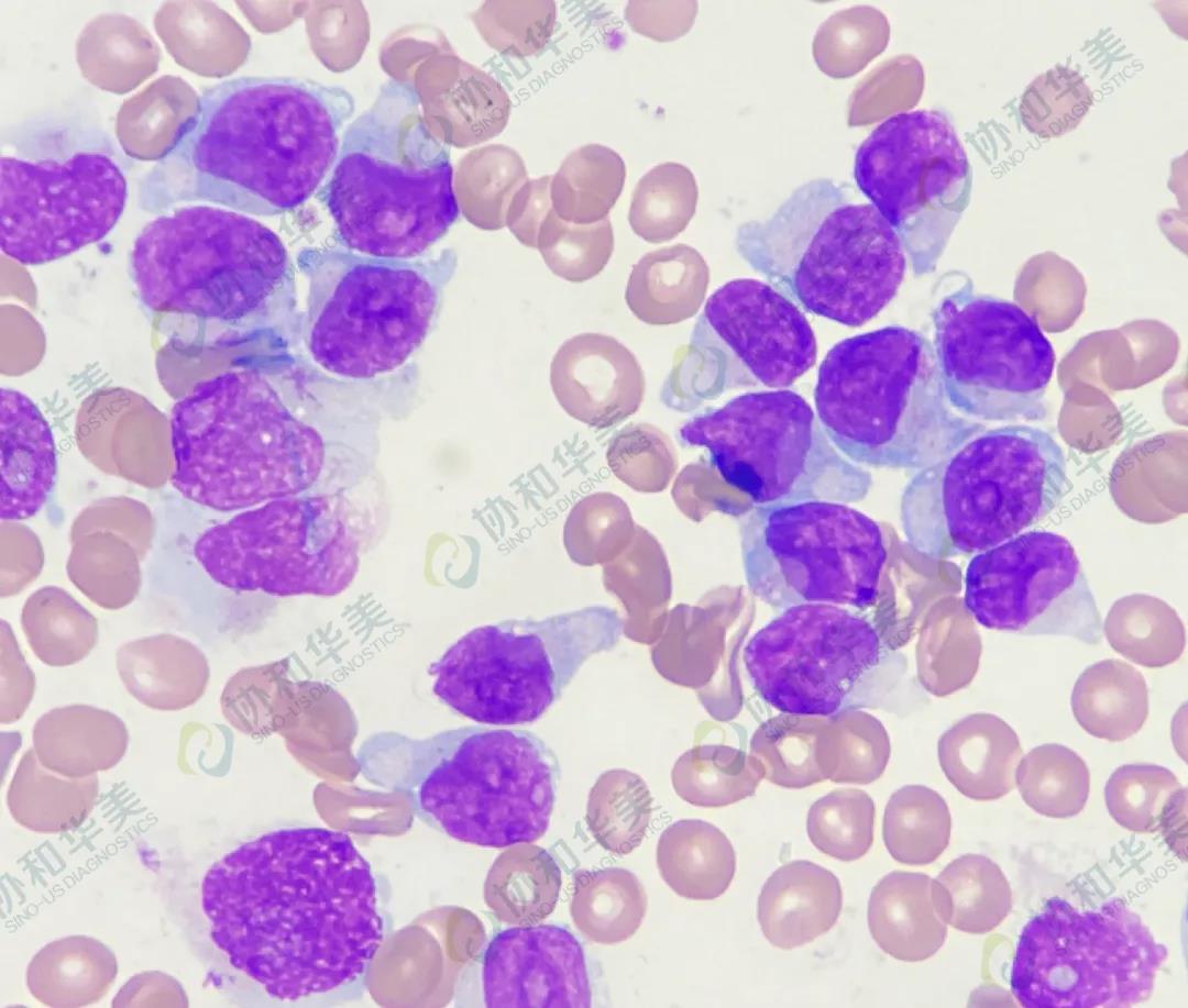
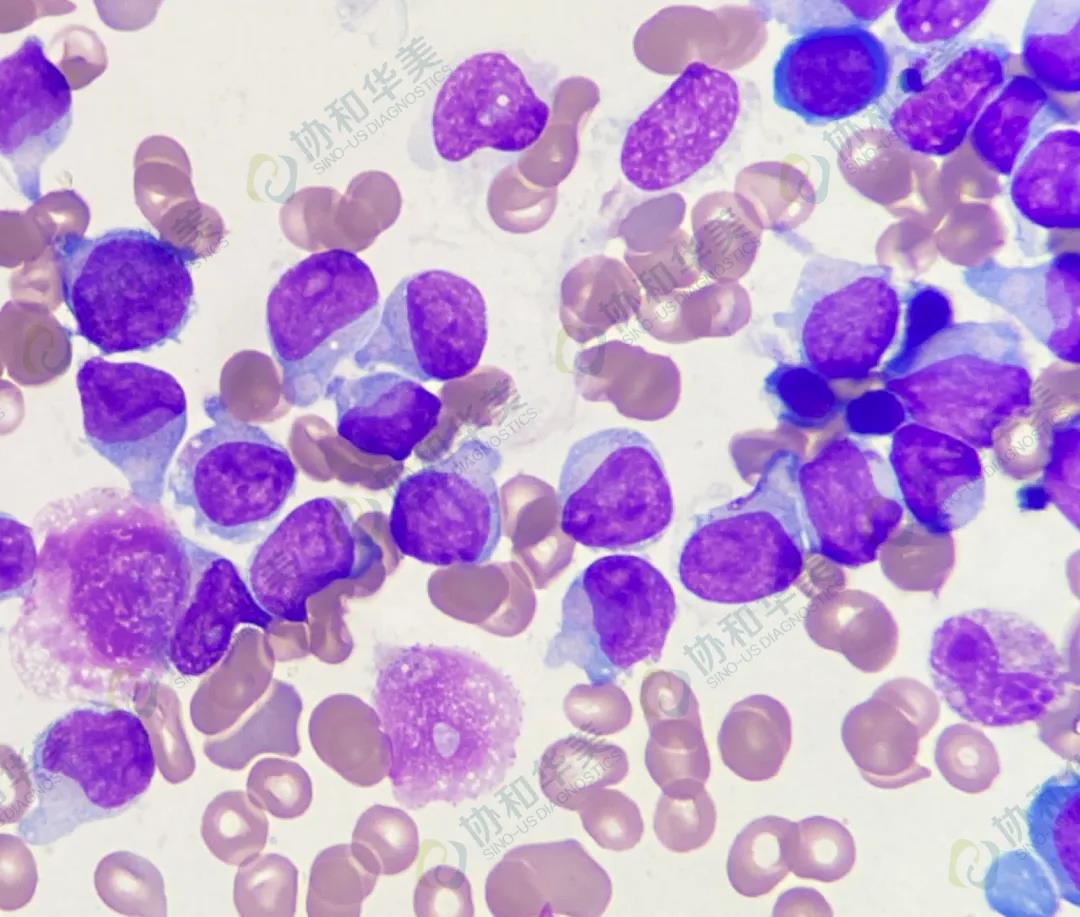
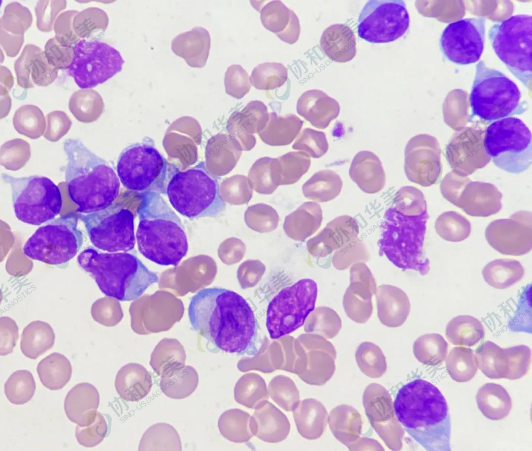
骨髓涂片 
 
 
 
 
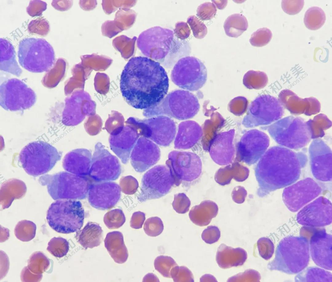
MPO染色
 
流式细胞学 
 
诊断结果
 
急性淋巴细胞白血病
 

作者:田欣 陈雪晶 

协和华美原创文章未经授权不得转载,如需转载请联系jingyuliu@sino-us-diagnostics.com

 
PLT     99 ×109/L 患者基本信息
女,72岁,诊断肾脏淀粉样变性6年。
血常规: 
WBC  1.88×109/L
RBC   1.8×1012/L  
HB      66  g/L  
PLT     99 ×109/L