【形态学病例分享】第十四期

患者基本信息
男,51岁, 肝大、脾大、淋巴结不大。
血常规:
WBC  1.6×109/L
RBC   3.53×1012/L  
HB     102g/L  
PLT    177×109/L
 
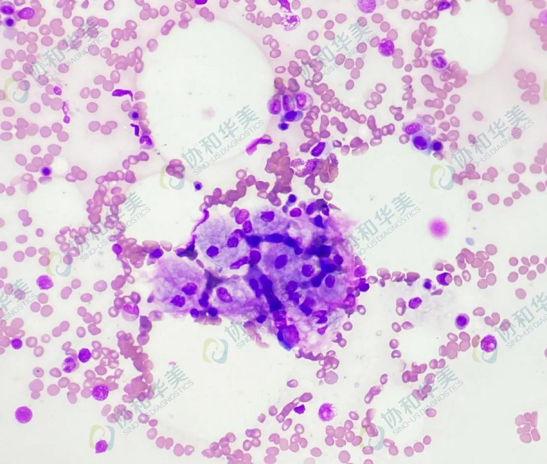
形态涂片 
 
 
 
 
病理
 
 
诊断结果
 
戈谢病
 
病例解析
戈谢病(Gaucher disease,GD)是一种常染色体隐性遗传引起的溶酶体贮积病。发病率低,世界范围总发病率约1/(10-40万),在Ashkenazi 犹太人群中发病率最高,约1/855,其中基因型N370S占75% ;我国山东、河北、河南、辽宁病例较多。
 
形态学
骨髓涂片中戈谢细胞胞体大,直径为20-100um,核呈卵圆形或不规则形,胞核小,偏于一侧,1个或多个(多至10余个),核染色质呈粗网状,副染色质明显,偶见核仁,胞质极丰富,染灰蓝色、浅红色,无空泡,内含呈交织成网状的大波纹纤维样物质,排列成洋葱皮样或蜘蛛网状。细胞化学中糖原(PAS)染色、酸性磷酸酶(ACP)染色强阳性,但非特异性指标。骨髓活检中戈谢细胞增生,胞体大,胞浆丰富,皱纸样,胞核圆形或不规则。在机体其他组织如肝、脾、淋巴结活检中亦可发现有特征形态的戈谢细胞。
 
发病机制
葡萄糖脑苷脂酶(glucoerebrosidase,GBA)基因突变导致葡萄糖脑苷脂酶缺陷,造成其底物葡萄糖脑苷脂在肝、脾、骨骼及肺、脑的巨噬细胞溶酶体中贮积,形成典型的戈谢细胞,导致受累组织器官出现病变。GBA基因位于常染色体1q21,基因长度为7.6Kb,含11个外显子和10个内含子。分为3种,分别为GBA1、GBA2、 GBA3,分别编码相应的酶。GBA1和GBA2 与戈谢病的发生有关,而GBA3无关。
 
临床表现
                 1.肝脾进行性肿大,脾功能亢进,肝功能异常;
 2.骨和关节受累,导致病理性骨折;
              3.肺脏受累,肺炎、呼吸困难、咳嗽、紫绀;
              4.眼部受累,眼球运动失调、水平注视困难;
        5.脑部受累,惊厥、癫痫、智力低下等;
               6.血小板减少、贫血、感染、皮肤黏膜出血。
 
诊断
出现不明原因的肝脾肿大、贫血、血小板减少、骨痛等临床表现以及骨髓涂片发现戈谢细胞时,应怀疑戈谢病。金标准:外周血白细胞或皮肤成纤维细胞中葡萄糖苷脂酶活性明显降低(<正常值的30%)。GBA酶基因突变检测可以从基因水平做出诊断,并提供患者亲属杂合子携带者信息。
 
鉴别诊断
假戈谢细胞形态与戈谢细胞相似,数量较少,见于CML 、急性白血病(ALL、M3等)、ITP、溶血性贫血、高脂血症等多种疾病,需根据其他检测项目及临床表现综合诊断。
 
分型
Ⅰ 型(非神经性):
①最常见,占戈谢病的90%以上,无原发性神经系统受累表现;
②各年龄段均可发病, 2/3患者在儿童期发病,发病越早,症状越重;
③主要临床表现为肝脾肿大、贫血及血小板减少;
④ GBA酶活力约为正常人的12%-45%;
⑤一些患者随着疾病进展可能继发神经系统表现(如脊髓受压等)。
 
Ⅱ 型(急性神经病变型):
①约占戈谢病的1%,婴儿期发病,有迅速进展的癫痫发作、角弓反张等急性神经系统受损表现。精神运动发育落后,2-4岁前死亡。
②此型戈谢病患者GBA酶活力最低,几乎难以测出。
 
Ⅲ 型(慢性(亚急性)神经病变型):
①约占戈谢病的5%,早期表现与Ⅰ 型相似,逐渐出现神经系统表现,病情进展缓慢,寿命可较长。
②GBA酶活力约为正常人的13%-20%。
 
治疗
①酶替代疗法(ERT):静脉注射β-葡萄糖脑苷脂酶类似物(阿糖苷酶、伊米甘酶、维拉甘酶、他利甘酶)。
②底物减少疗法(SRT):口服相关药物(美格鲁特、伊利格鲁特)可抑制葡萄糖脑苷脂在体内生物合成。
③分子伴侣疗法
④外科治疗:主要是脾切除。
⑤干细胞移植治疗:总生存率超过85%。
本病治疗费用高,目前,浙江、广东、宁夏、上海、青岛、昆明等十几个省市已将戈谢病纳入医保范畴。
 
参考文献:戈谢病多学科诊疗专家共识(2020)
 
 
 
作者:王占龙
 
协和华美原创文章未经授权不得转载,如需转载请联系jingyuliu@sino-us-diagnostics.com
 
 
①酶替代疗法(ERT):静脉注射β-葡萄糖脑苷脂酶类似物(阿糖苷酶、伊米甘酶、维拉甘酶、他利甘酶)。
②底物减少疗法(SRT):口服相关药物(美格鲁特、伊利格鲁特)可抑制葡萄糖脑苷脂在体内生物合成。
③分子伴侣疗法
④外科治疗:主要是脾切除。
⑤干细胞移植治疗:总生存率超过85%。
 
本病治疗费用高,目前,浙江、广东、宁夏、上海、青岛、昆明等十几个省市已将戈谢病纳入医保范畴。
 
出现不明原因的肝脾肿大、贫血、血小板减少、骨痛等临床表现以及骨髓涂片发现戈谢细胞时,应怀疑戈谢病。
金标准:外周血白细胞或皮肤成纤维细胞中葡萄糖苷脂酶活性明显降低(<正常值的30%)。
GBA酶基因突变检测可以从基因水平做出诊断,并提供患者亲属杂合子携带者信息。
葡萄糖脑苷脂酶(glucoerebrosidase,GBA)基因突变导致葡萄糖脑苷脂酶缺陷,造成其底物葡萄糖脑苷脂在肝、脾、骨骼及肺、脑的巨噬细胞溶酶体中贮积,形成典型的戈谢细胞,导致受累组织器官出现病变。
GBA基因位于常染色体1q21,基因长度为7.6Kb,含11个外显子和10个内含子。分为3种,分别为GBA1、GBA2、 GBA3,分别编码相应的酶。GBA1和GBA2 与戈谢病的发生有关,而GBA3无关。
 
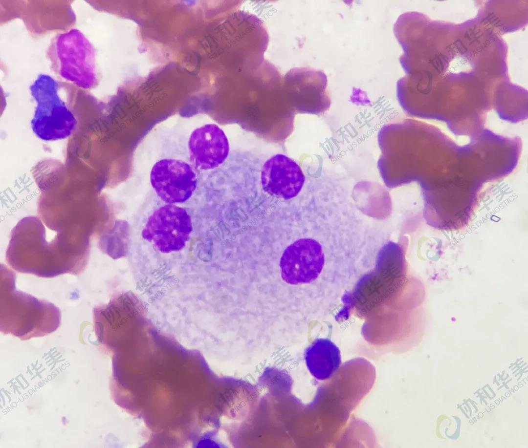
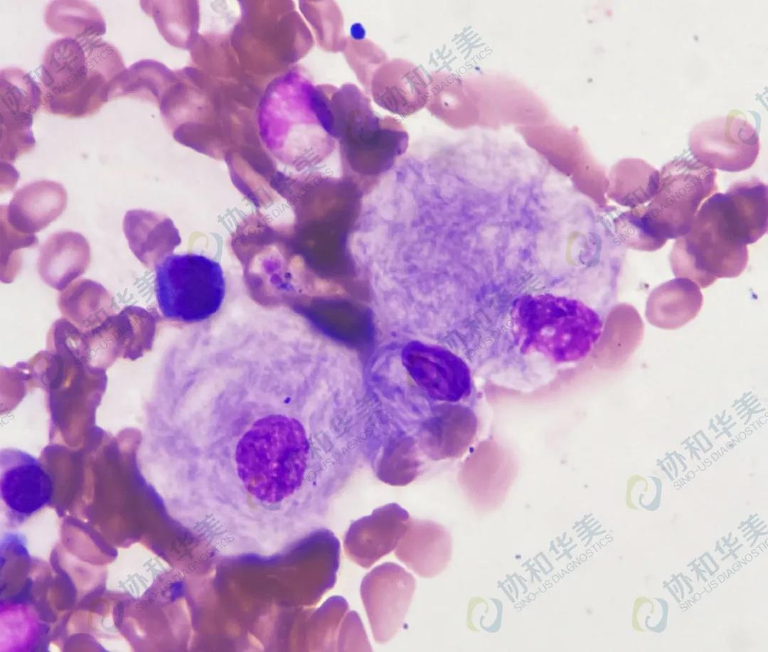
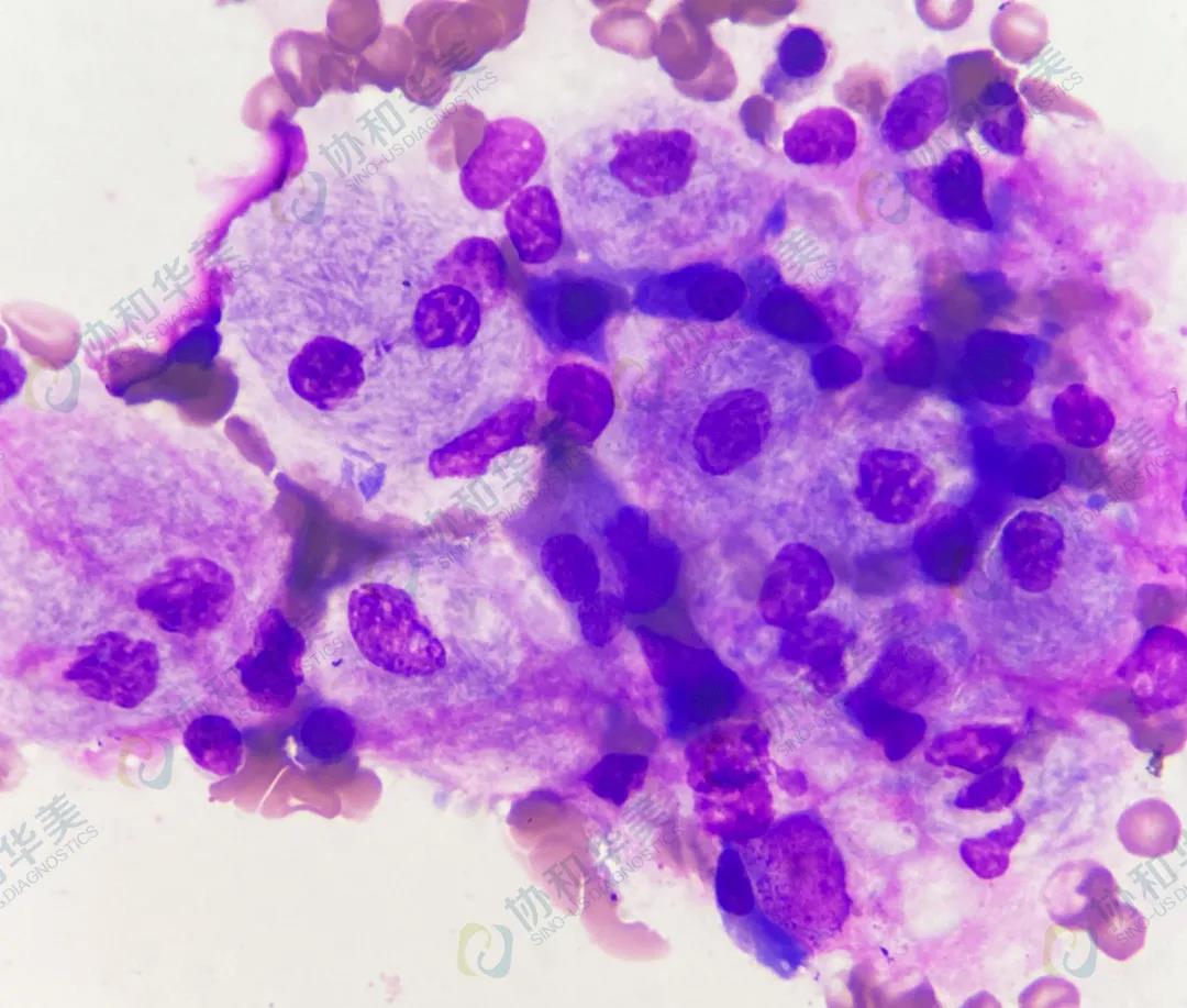
骨髓涂片中戈谢细胞胞体大,直径为20-100um,核呈卵圆形或不规则形,胞核小,偏于一侧,1个或多个(多至10余个),核染色质呈粗网状,副染色质明显,偶见核仁,胞质极丰富,染灰蓝色、浅红色,无空泡,内含呈交织成网状的大波纹纤维样物质,排列成洋葱皮样或蜘蛛网状。
细胞化学中糖原(PAS)染色、酸性磷酸酶(ACP)染色强阳性,但非特异性指标。
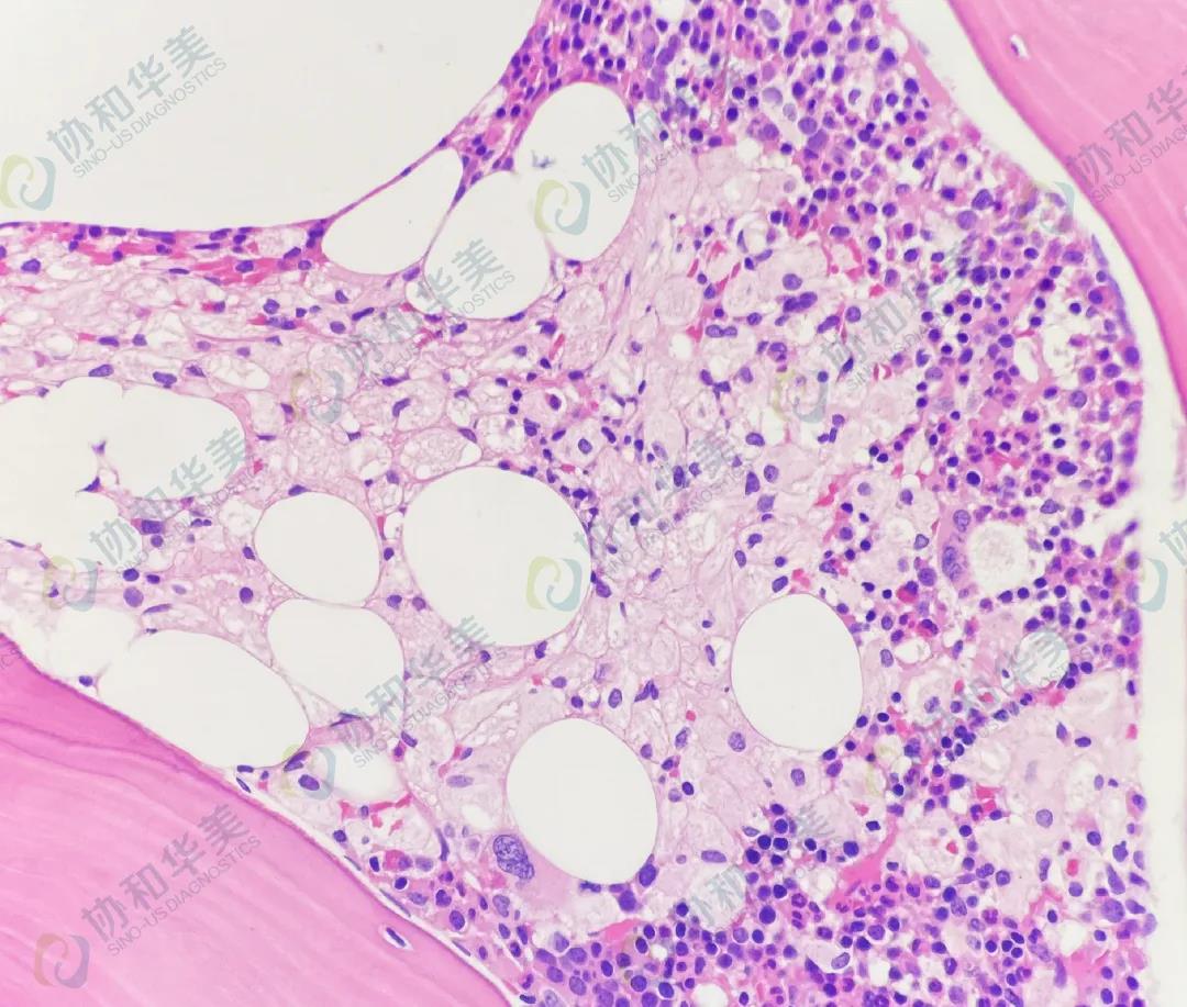
骨髓活检中戈谢细胞增生,胞体大,胞浆丰富,皱纸样,胞核圆形或不规则。
在机体其他组织如肝、脾、淋巴结活检中亦可发现有特征形态的戈谢细胞。
骨髓涂片中戈谢细胞胞体大,直径为20-100um,核呈卵圆形或不规则形,胞核小,偏于一侧,1个或多个(多至10余个),核染色质呈粗网状,副染色质明显,偶见核仁,胞质极丰富,染灰蓝色、浅红色,无空泡,内含呈交织成网状的大波纹纤维样物质,排列成洋葱皮样或蜘蛛网状。
细胞化学中糖原(PAS)染色、酸性磷酸酶(ACP)染色强阳性,但非特异性指标。
骨髓活检中戈谢细胞增生,胞体大,胞浆丰富,皱纸样,胞核圆形或不规则。
在机体其他组织如肝、脾、淋巴结活检中亦可发现有特征形态的戈谢细胞。
PLT    177×109/L患者基本信息
男,51岁, 肝大、脾大、淋巴结不大。
血常规:
WBC  1.6×109/L
RBC   3.53×1012/L  
HB     102g/L  
PLT    177×109/L
葡萄糖脑苷脂酶(glucoerebrosidase
葡萄糖脑苷脂酶(glucoerebrosidase