【形态学病例分享】第十一期

患者基本信息
男,8岁, 发现皮肤瘀斑2月,淋巴结肿大,肝脾不大。
血常规:
       WBC  54.45×109 /L    
            RBC   3.51×1012 /L      
HB     67g/L 
          PLT   30×109 /L    
 
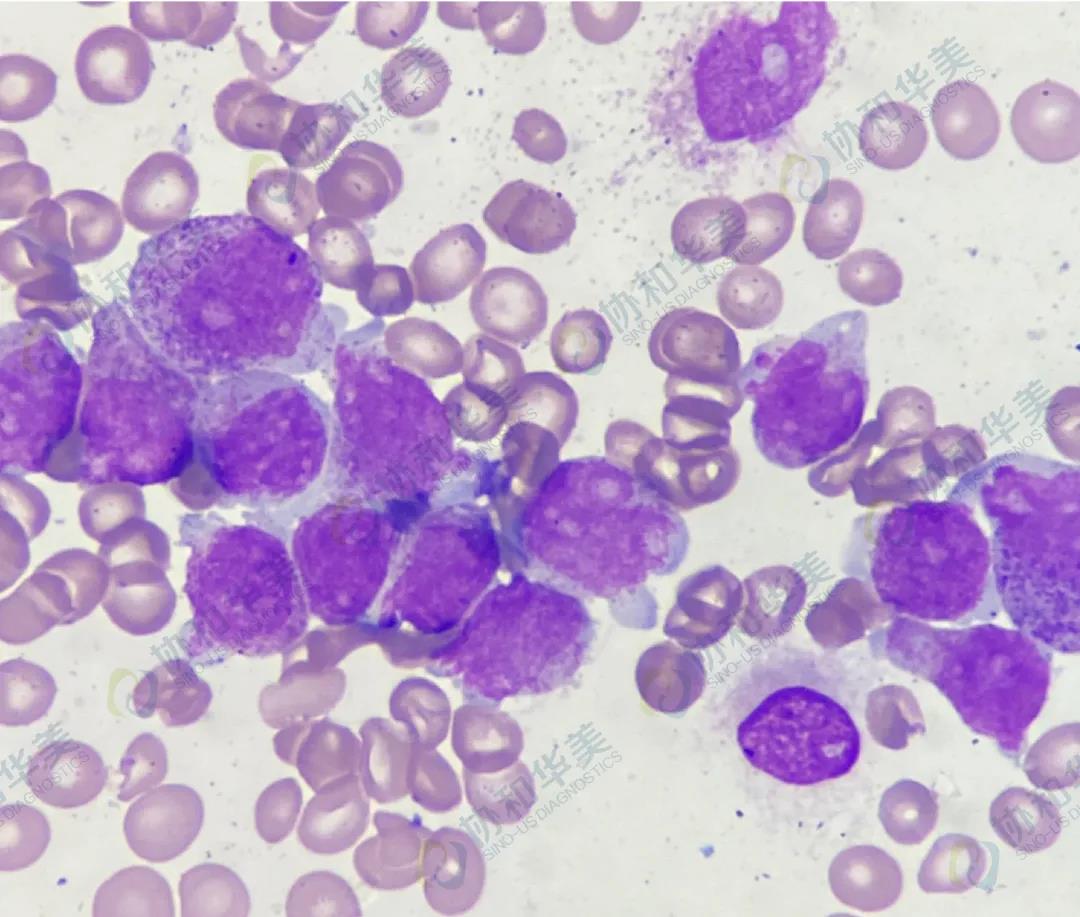
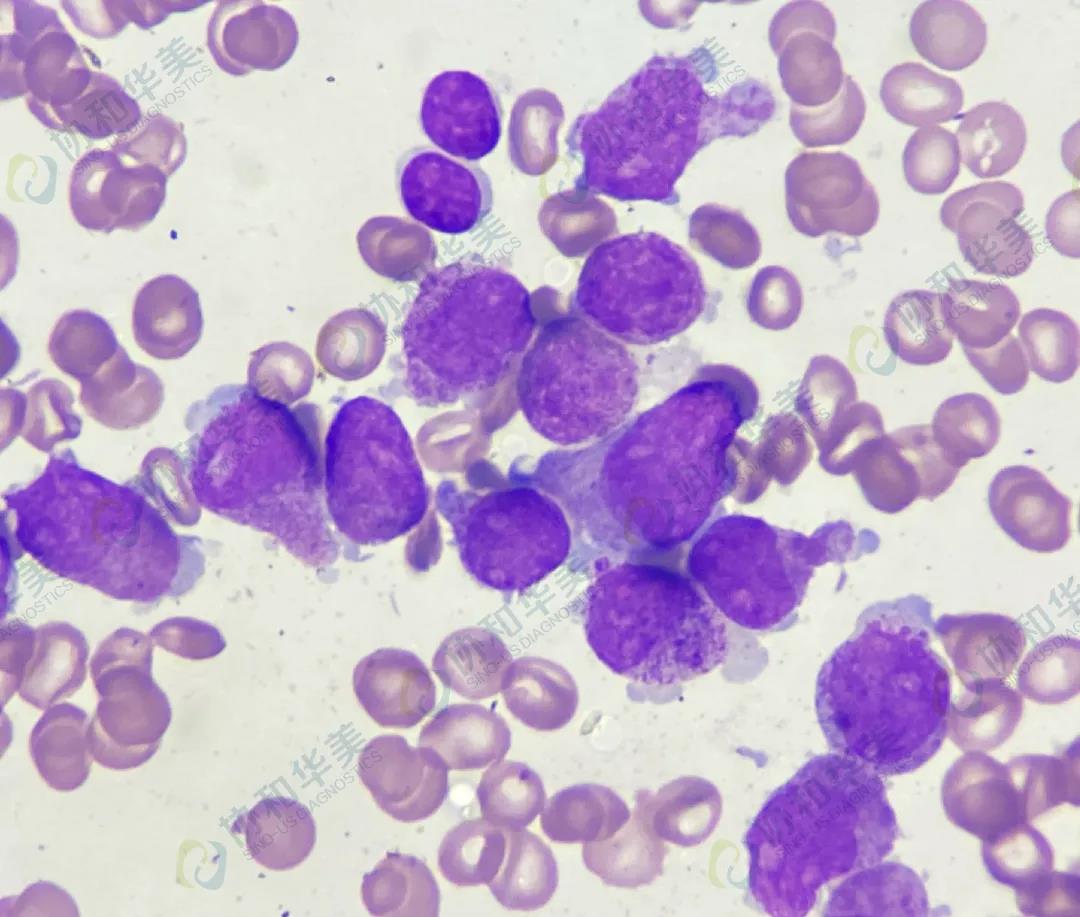
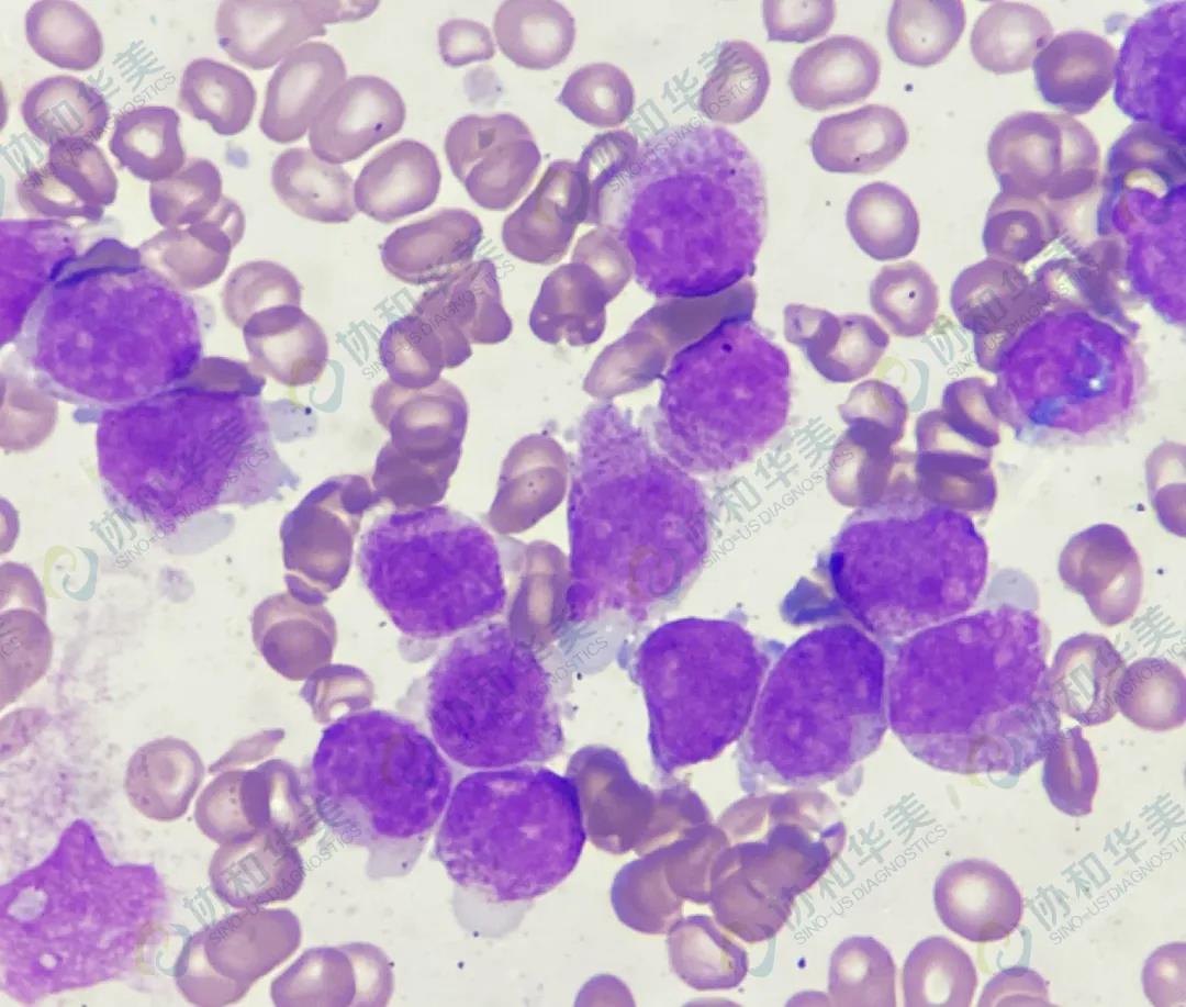
     形态涂片
 
 
 
 
MPO 
 
 
 融合基因
 
FISH
 
诊断结果
 
AML-M3v
 
 
作者:田欣 陈雪晶
 
协和华美原创文章未经授权不得转载,如需转载请联系jingyuliu@sino-us-diagnostics.com
 
PLT   30×109 /L 患者基本信息
男,8岁, 发现皮肤瘀斑2月,淋巴结肿大,肝脾不大。
血常规:
WBC 54.45×109 /L    
RBC  3.51×1012 /L      
HB    67g/L                 
PLT   30×109 /L