【形态学病例分享】第八期

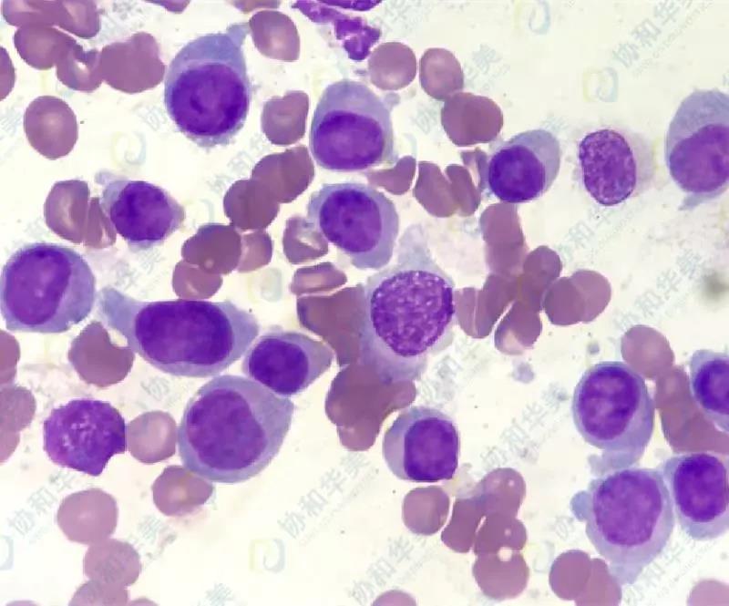
形态涂片 

  

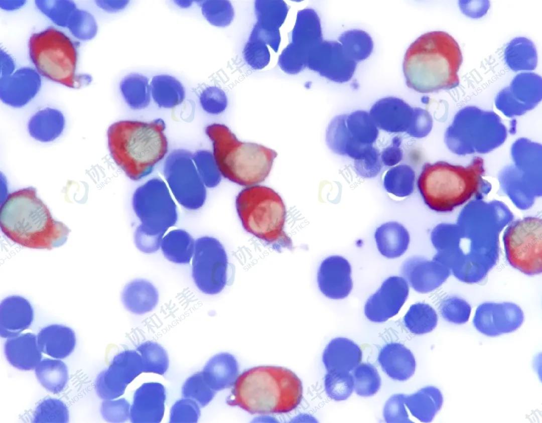
 MPO染色

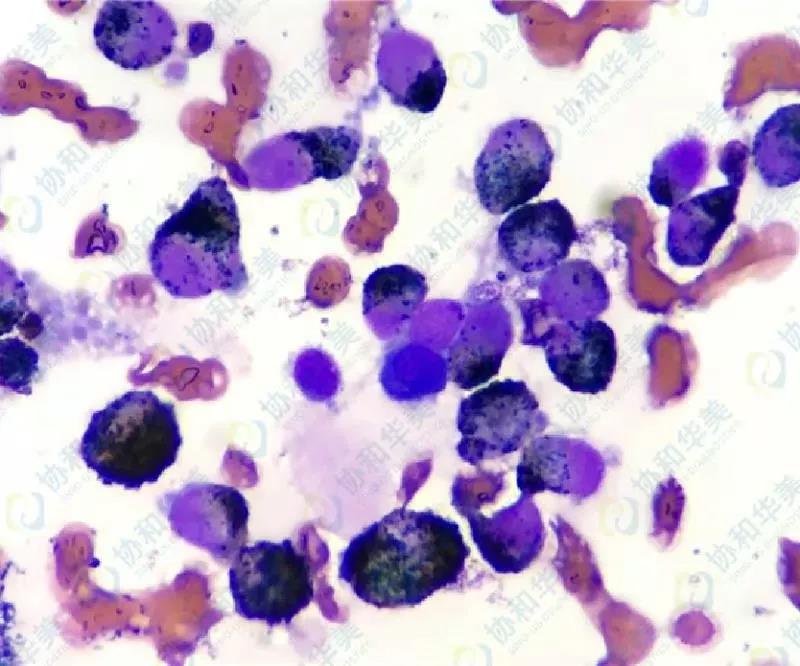
 细胞化学

NAE

NAE+NaF

 诊断报告

【诊断结果】
 

急性单核细胞白血病

 

作者:王占龙 陈雪晶 

协和华美原创文章未经授权不得转载,如需转载请联系jingyuliu@sino-us-diagnostics.com