【形态学病例分享】第七期

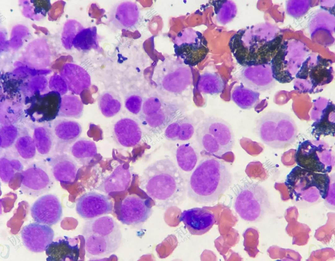
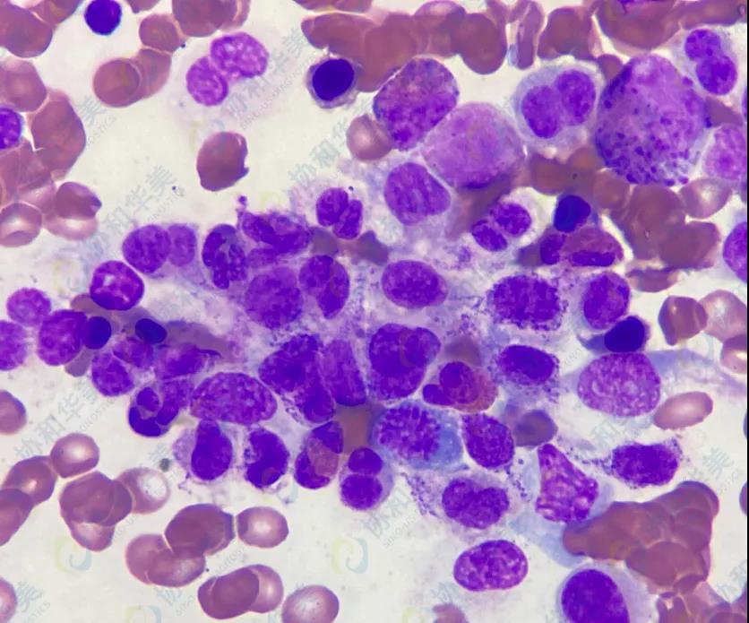
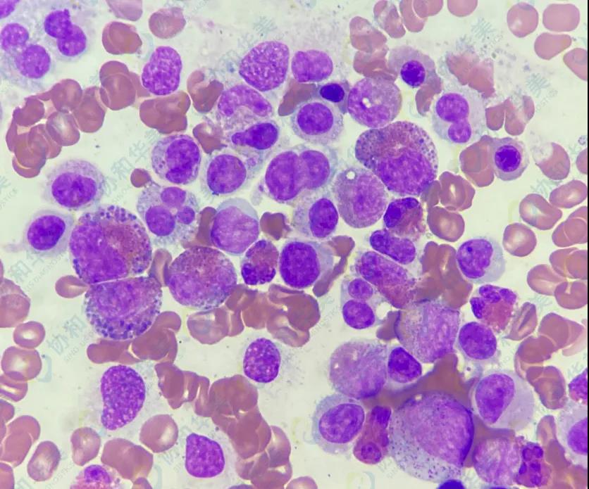
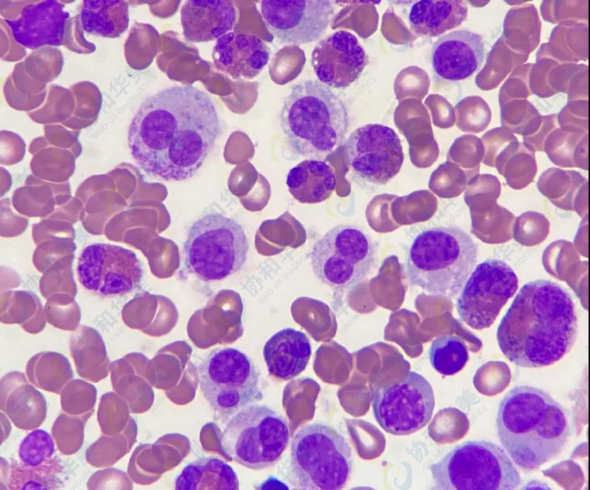
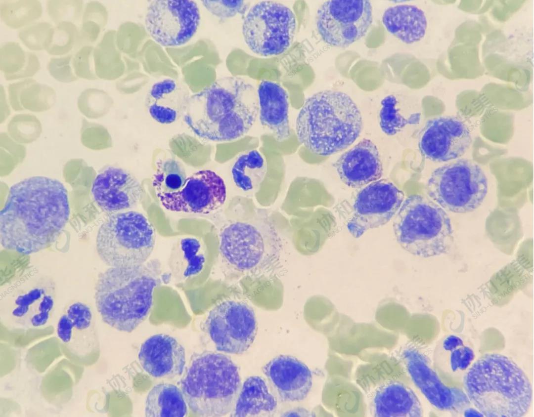
形态涂片

  

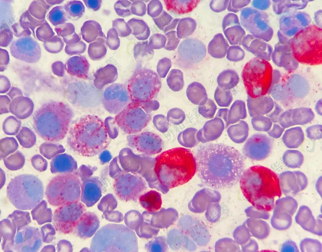
细胞化学

CE

甲苯胺蓝

MPO

 

流式细胞学 

 

分子检查

【诊断结果】
 

肥大细胞增生症伴嗜酸性粒细胞增多

 

作者:田欣  陈雪晶 杨少斌

协和华美原创文章未经授权不得转载,如需转载请联系jingyuliu@sino-us-diagnostics.com