【形态学病例分享】第六期

 

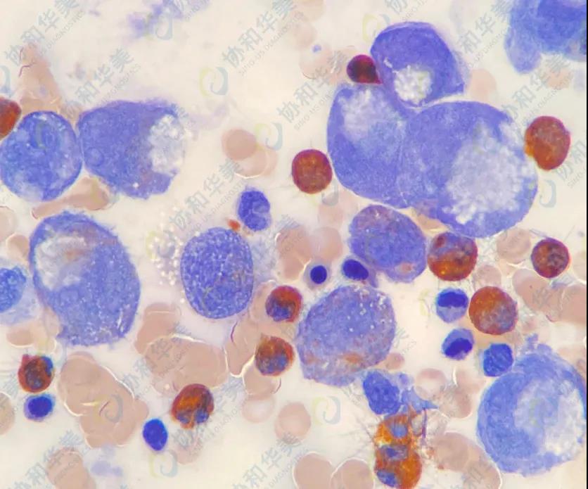
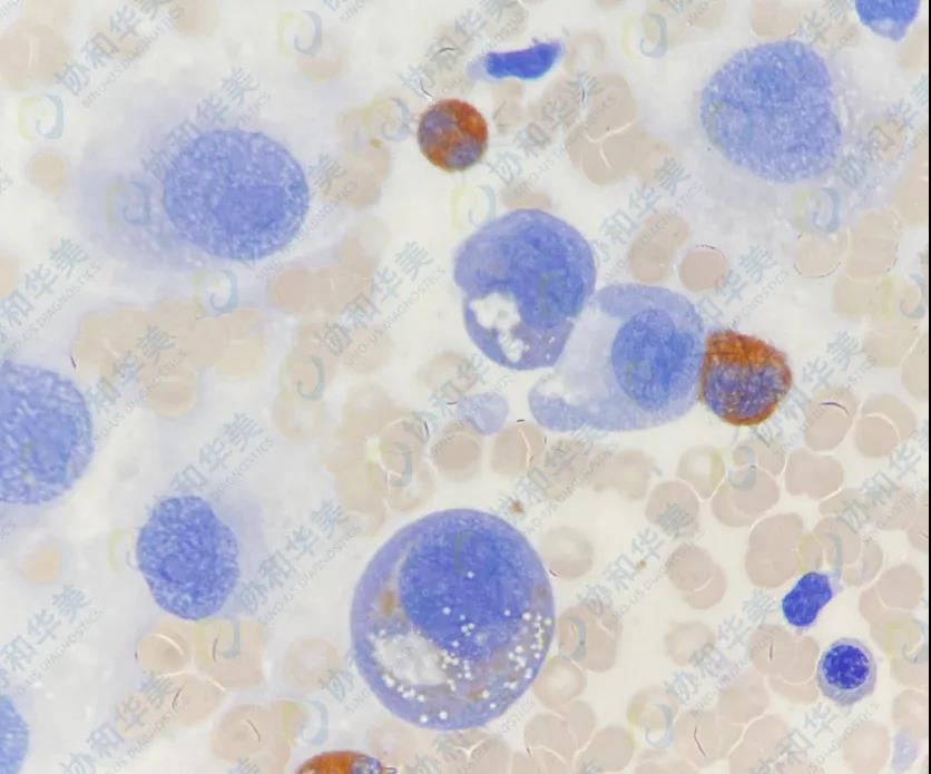
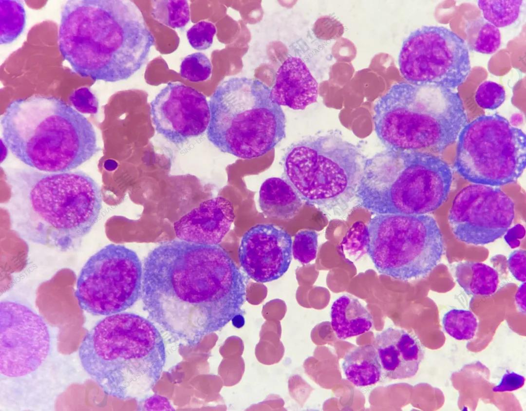
形态涂片

异常细胞约25%

 

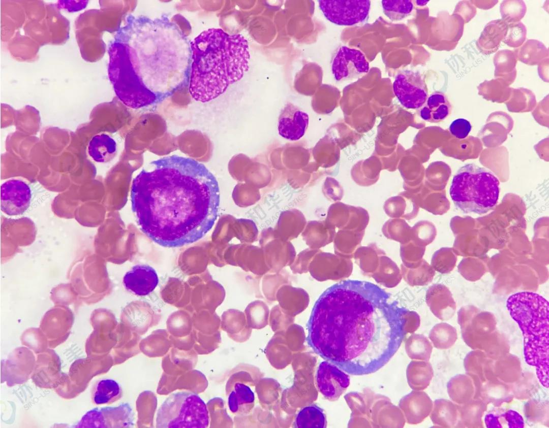
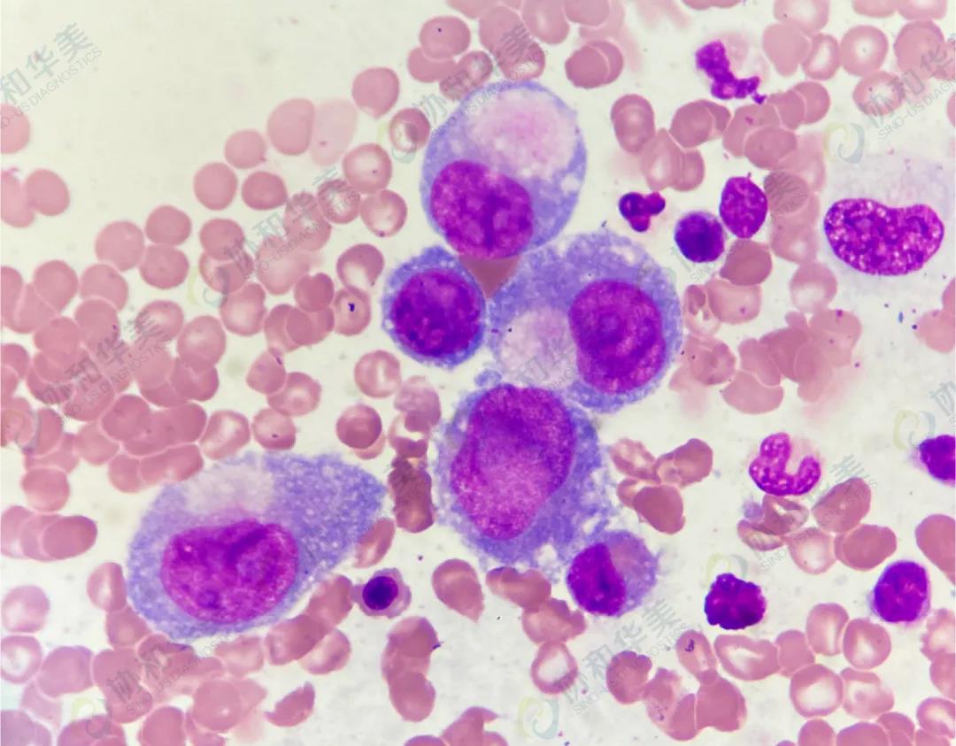
MPO染色 

  

异常细胞MPO阳性率5%,为弱阳性

 

 诊断报告

 

【诊断结果】
 

急性单核细胞白血病

 

 

作者:田欣 王占龙

协和华美原创文章未经授权不得转载,如需转载请联系jingyuliu@sino-us-diagnostics.com