【形态学病例分享】第三期

 

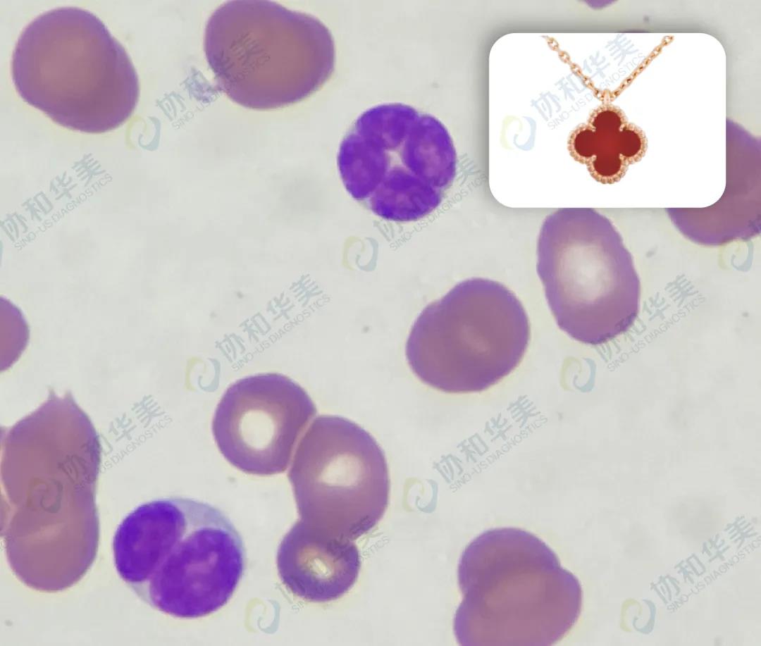
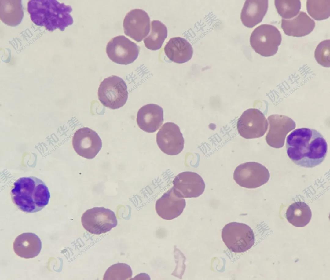
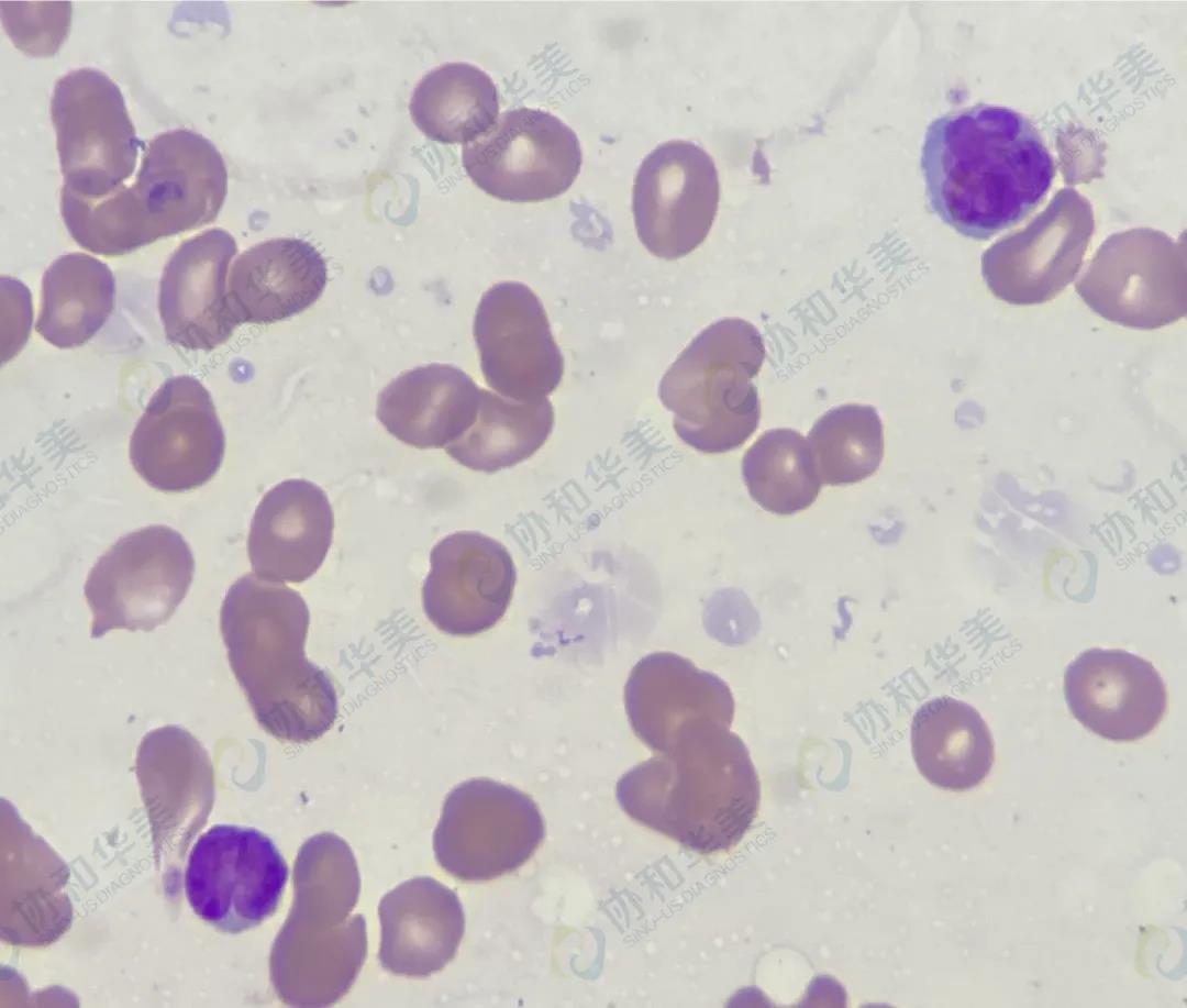
形态涂片 

 

  

 

细胞形态学示骨髓增生偏低,该类细胞骨髓占91.5%,外周血占56%。

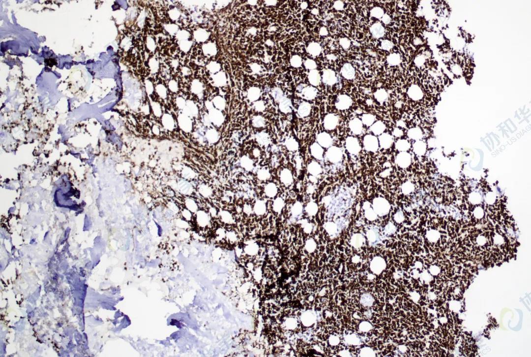
病理

 

流式

 

【诊断结果】

 

浆细胞白血病

 

 

 

 

                              作者:田欣 陈雪晶 张静芳

                              协和华美原创文章未经授权不得转载,如需转载请联系jingyuliu@sino-us-diagnostics.com