【形态学病例分享】第二期

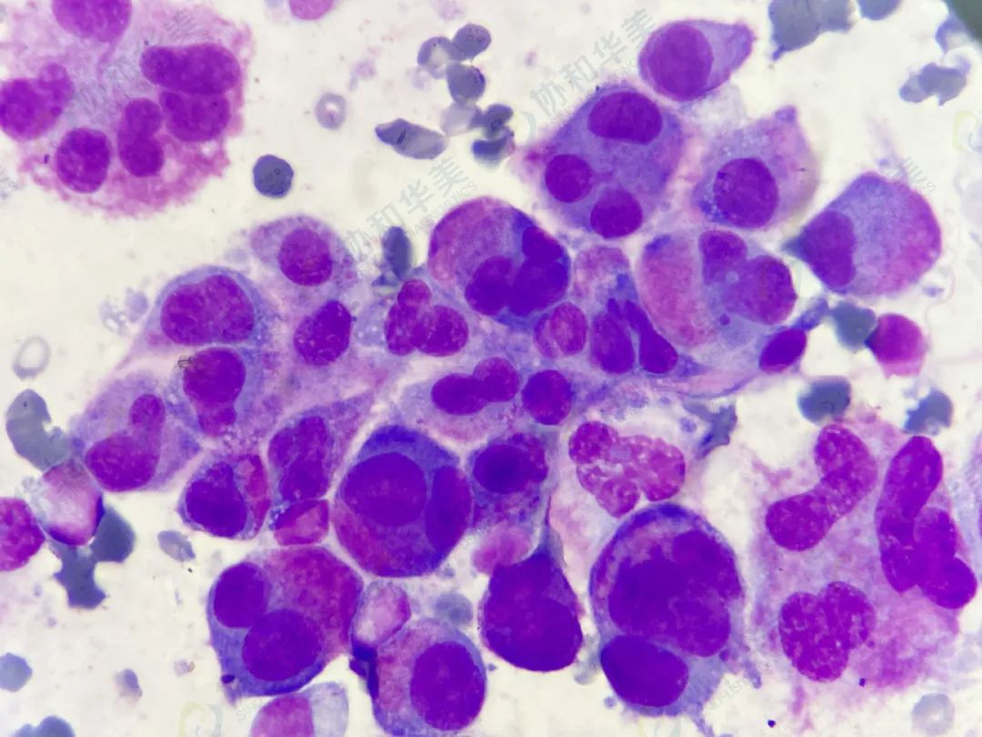
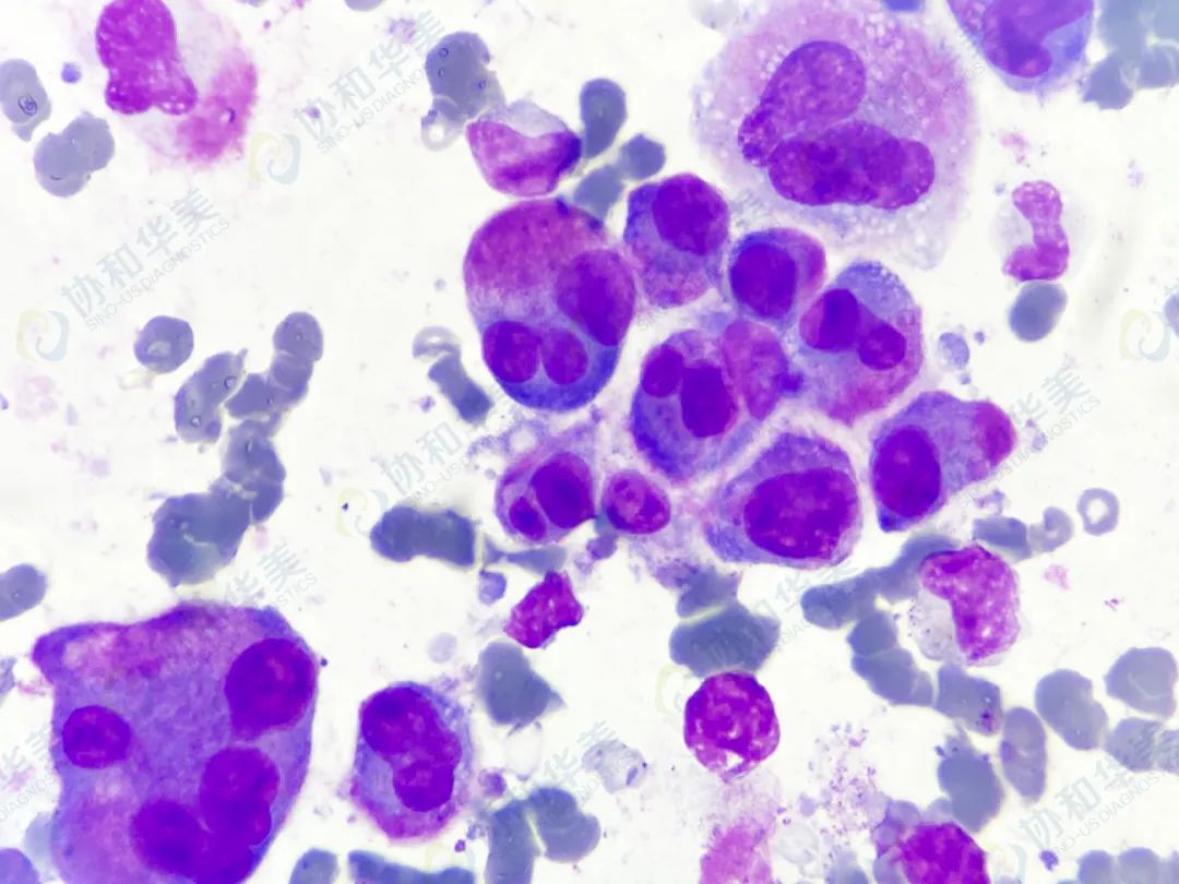
骨髓涂片 

  

 

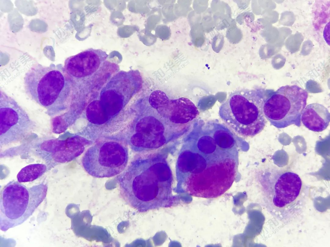
外周血涂片 

 

特殊染色

  

CE染色                                            甲苯胺蓝染色

 

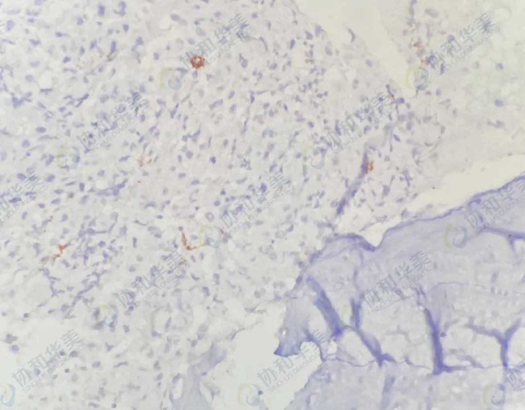
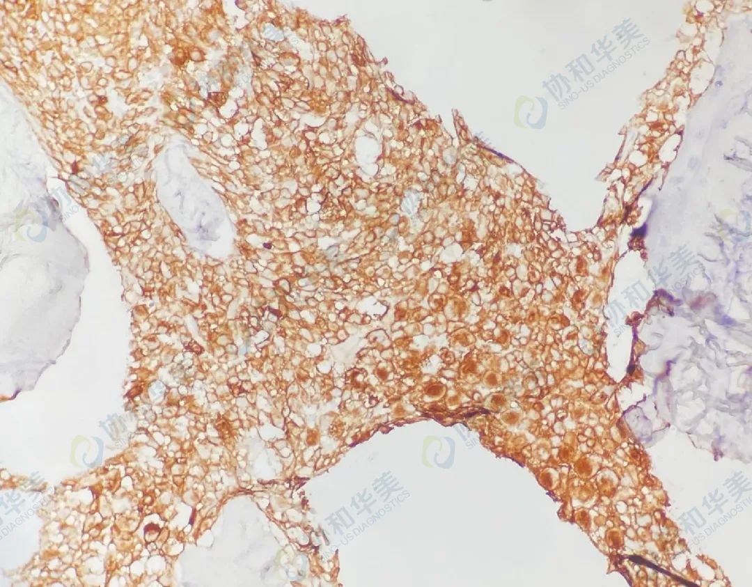
病理切片

 

  

HE染色                                           CD138

 

  

CD117                                             Tryptase

 

诊断报告

 

诊断结果

肥大细胞白血病

 

 

作者:田欣 刘恩彬 孙丽丹 王占龙

协和华美原创文章未经授权不得转载,如需转载请联系jingyuliu@sino-us-diagnostics.com