多发性骨髓瘤的临床及实验室诊断
什么是多发性骨髓瘤
多发性骨髓瘤(Multiple myeloma,MM),是一种异常浆细胞大量克隆增殖的恶性肿瘤,患者常常表现为骨痛,肾衰,贫血,感染等症状。引发MM的因素包括过度饮酒,肥胖,遗传因素等。MM患者治疗后症状可以得到缓解或者完全缓解,但是通常不能被治愈。MM在所有肿瘤中所占比例约为1%,占血液肿瘤的10%左右,大部分患者是中老年人,年龄集中在55-65岁之间,男性多于女性,5年生存率约为49%。
什么是多发性骨髓瘤
多发性骨髓瘤(Multiple myeloma,MM),是一种异常浆细胞大量克隆增殖的恶性肿瘤,患者常常表现为骨痛,肾衰,贫血,感染等症状。引发MM的因素包括过度饮酒,肥胖,遗传因素等。MM患者治疗后症状可以得到缓解或者完全缓解,但是通常不能被治愈。MM在所有肿瘤中所占比例约为1%,占血液肿瘤的10%左右,大部分患者是中老年人,年龄集中在55-65岁之间,男性多于女性,5年生存率约为49%。
多发性骨髓瘤的临床表现
▼▼▼
骨痛
骨痛是MM最常见的症状,约70%的MM患者都有骨痛的症状,最常见的骨痛位置是脊柱和肋骨,脊柱位置的骨痛可能引发脊髓压迫和驼背。MM患者骨损伤是由于骨髓基质过度表达了RANKL的激活因子,激活RANKL蛋白,RANKL进而激活破骨细胞,对骨质进行溶解,这种骨损伤可以通过X射线识别;同时骨质的溶解导致大量钙离子流入血液,引发高钙血症。
△脊椎溶骨
肾衰
MM患者的浆细胞可以产生大量的单克隆免疫球蛋白(M蛋白)。近99%的MM患者的血清及尿中可测到M蛋白,另有近3%的患者为不分泌或不合成M蛋白。M蛋白渗透到肾脏,导致肾功能损伤,临床表现以溢出性蛋白尿为主,可出现慢性或急性肾功能不全、肾病综合征等。部分具有淀粉样病变症状的MM患者,表达高水平的淀粉样蛋白,分泌入肾,同样可以对肾脏造成损伤。
贫血
MM癌细胞侵润骨髓,抑制造血红细胞分泌造血因子,从而导致贫血的发生。MM导致的贫血通常是正细胞正色素型贫血。
绝大多数患者都有不同程度的贫血,通常是正细胞正色素性贫血。红细胞常呈“缗钱状”排列,血沉也明显加快。外周血片可见到2-3%浆细胞。

△缗钱状红细胞
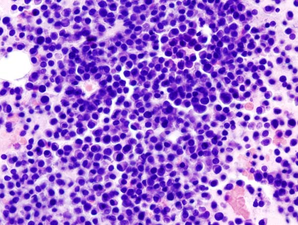
MM患者骨髓中可出现异常浆细胞,占有核细胞的5%-90%不等,骨髓一般呈增生性骨髓象,由于瘤细胞常成堆分布于骨髓活检涂片尾部,因此检查时应着重注意尾部观察。特别要注意的是,早期MM患者瘤细胞呈灶性分布,因此骨髓穿刺时应多部位,多次穿刺才能检出肿瘤细胞。

△MM患者的骨髓活检(HE染色)
免疫电泳
MM患者的血液或尿液进行蛋白质电泳,电泳结果通常会显示M蛋白质带。M蛋白是由肿瘤产生的克隆性免疫球蛋白,有时伴有其他正常免疫球蛋白的减少(称为“免疫麻痹”)。其M蛋白的定量检测对于建立诊断和监测疾病非常重要。理论上,多发性骨髓瘤可产生所有类型的免疫球蛋白,但IgG类M蛋白是最常见的,其次是IgA和IgM。IgD和IgE多发性骨髓瘤中非常罕见。部分MM患者蛋白质电泳检查可能是阴性,这种患者可能患有“非分泌性”骨髓瘤(不产生免疫球蛋白),占所有MM患者的3%左右。
血钙检查
MM患者破骨细胞分解骨质,导致大量钙释放到血液当中,血钙升高,可达12%-16%。
血清肌酐检查
由于M蛋白对肾功能的损害,肾脏处理肌酐的能力下降,所以患者血清肌酐通常高于正常值。
异常浆细胞表达CD38和CD138,限制性表达cKappa或cLambda,常伴有CD56、CD117、CD200的表达,CD27弱表达,不表达CD19。
多发性骨髓瘤的遗传学改变

Pieter Sonneveld, et al., Blood, 2016;127(24):2955-2962
染色体核型:
核型分析可检出20%-30%的异常,大多是染色体数目异常,50%的多发性骨髓瘤病人核型属于超二倍体,单纯超二倍体预后良好。但是超二倍体的患者,伴有1个预后不良的细胞遗传学异常 ( t(4;14)、t(14;16)、t(14;20)、1q+、17p-),预后更差 。三倍体与t(4;14)、t(14;16)、t(14;20)、 17p-同时存在可降低不良预后。
FISH检查:
MM患者往往表现出多种遗传物质结构的改变,针对MM遗传物质结构改变常用的FISH探针包括IGH,CKS1B/CDKN2C,RB-1,TP53等,CD138富集后做FISH大大提高了阳性率。
(1) IGH基因重排是MM患者最常见的基因改变,常累及IGH的易位为t(4;14) FGFR3/IGH (15%); t(11;14)CCND1/IGH(15%-20%); t(14;16) MAF/IGH (3%); t(14;20)MAFB/IGH(1.5%);t(6;14)CCND3/IGH(4%)不同的融合基因类型对预后影响不同。t(4;14) FGFR3预后较差,CCND1/IGH预后较好,t(14;16) MAF预后不良。
(2) CKS1B/CDKN2C探针的检测目的在于检查CKS1B基因是否扩展和CDKN2C基因是否缺失,CKS1B/CDKN2C阳性可见于30%-50%的MM,提示预后差、生存期短。
(3) RB-1和TP53基因的缺失在MM中具有较高的发生率,使得患者生存期较短,同时具备此2种异常的患者预后更差。
MM患者FISH项目的筛选

此外,随着二代测序基因检测技术的发展,人们对MM发病的分子机制认识越来越深入。MM中除了存在染色体结构变异和基因重排外,还存在许多基因点突变和小片段的插入/缺失,例如,高发的基因有RAS/MAPK信号通路中的KRAS、NRAS、BRAF以及肿瘤抑制基因TP53和FAM46C等,这些基因突变通常与MM的诊断、预后或治疗相关。因此,在MM的诊断中,除了以上传统和经典的检测外,还可采用新的技术方法进行基因检测,从而为临床决策提供更多的参考。